
而且根管治疗需要多次就诊,很可能你要工作日请假去看牙,那这天的工资也没了,本就不富裕的钱包再次“缩水”。

等到牙体烂到牙根,不得不拔除另外修复时,花费少则一两万,多得甚至要十几万。
不要觉得牙那么多,坏一颗、掉一颗没事儿。
事实上我们嘴里的牙齿是个整体,牵一发而动全身。
掉牙后若没有及时补救,缺失牙的隔壁和对门的“邻居”都会蠢蠢欲动,邻牙往缺牙的地方倾斜,对面的牙也会长下来,最终导致牙齿局部咬合错乱,容易越掉越多不说,全身健康也会逐个遭殃。
下面分享几例修复病例️
病例一
客户诉牙齿进食食物嵌塞,检查发现第一磨牙邻颌面龋坏,告知患者各种备选修复材料的优缺点、相应修复费用和修复时间和并发症,患者选择了充填修复。
术前 VS 术后

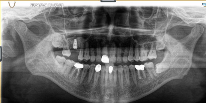
病例二
患者男,52 岁。 多年前曾在外院做过根管治疗及桩核冠修复,近一年来桩核冠常有脱落,反复粘接史,三日前桩冠脱落后丢失,前来我院就诊。
口腔检查图片

治疗方案:拔出后种植修复。
拔牙后半年复诊影像学检查

综合考虑患者自愿选择欧种植体。最终16 植入 4.8*10mm ITI 种植体,由于垂直高度不足,腭侧骨缺损区植入bio-oss骨粉0.25g及CGF,并盖bio-Gide膜及CGF膜,严密缝合。 二期三期如期进行。余近日戴牙。
术后照片
