后牙嵌体修复病例分享

卢松林医生 发布于2024-03-02 18:19 阅读量848

本文由卢松林原创

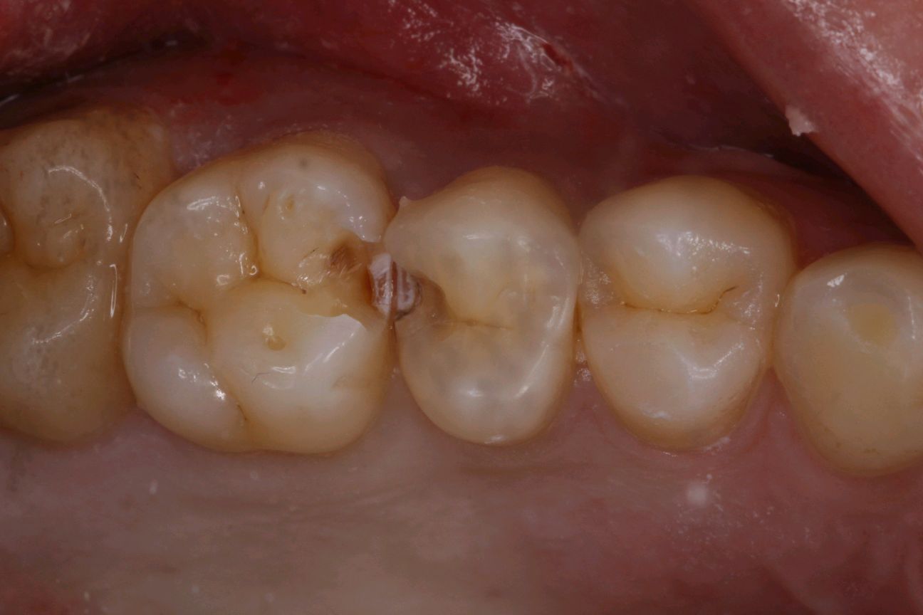
患者男,28岁。主诉左上后牙食物嵌塞。检查发现25、26邻面龋坏,色泽发黑,质硬 冷测正常,余无特殊。治疗计划:去腐后嵌体修复。

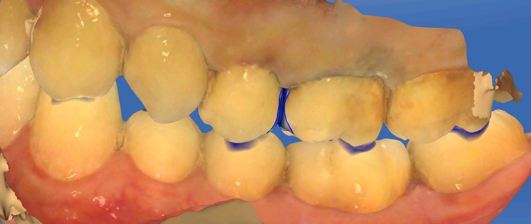
食物嵌塞为细菌提供了良好的滋生环境,容易导致细菌大量繁殖,产生酸性物质,从而增加蛀牙的风险。最好是用嵌体修复,能更好的恢复牙体的形态和功能。增加了固位力,恢复正常的邻接关系,可以得到更好的清洁。通过德国西诺德 CEREC,当时完成即可佩戴,患者满意。


图片发自160App


图片发自160App


图片发自160App

术前


图片发自160App

术中


图片发自160App


图片发自160App

术后


图片发自160App
相关疾病: