01什么是嵌体?
牙齿是人体上最坚硬的组织,它不像我们身体上其他的组织,如果坏了,可以自行修复。牙齿坏掉了,如果不及时把坏的地方修补上的话,牙齿是不会自行愈合的。而嵌体就是一种牙齿修复的方法。
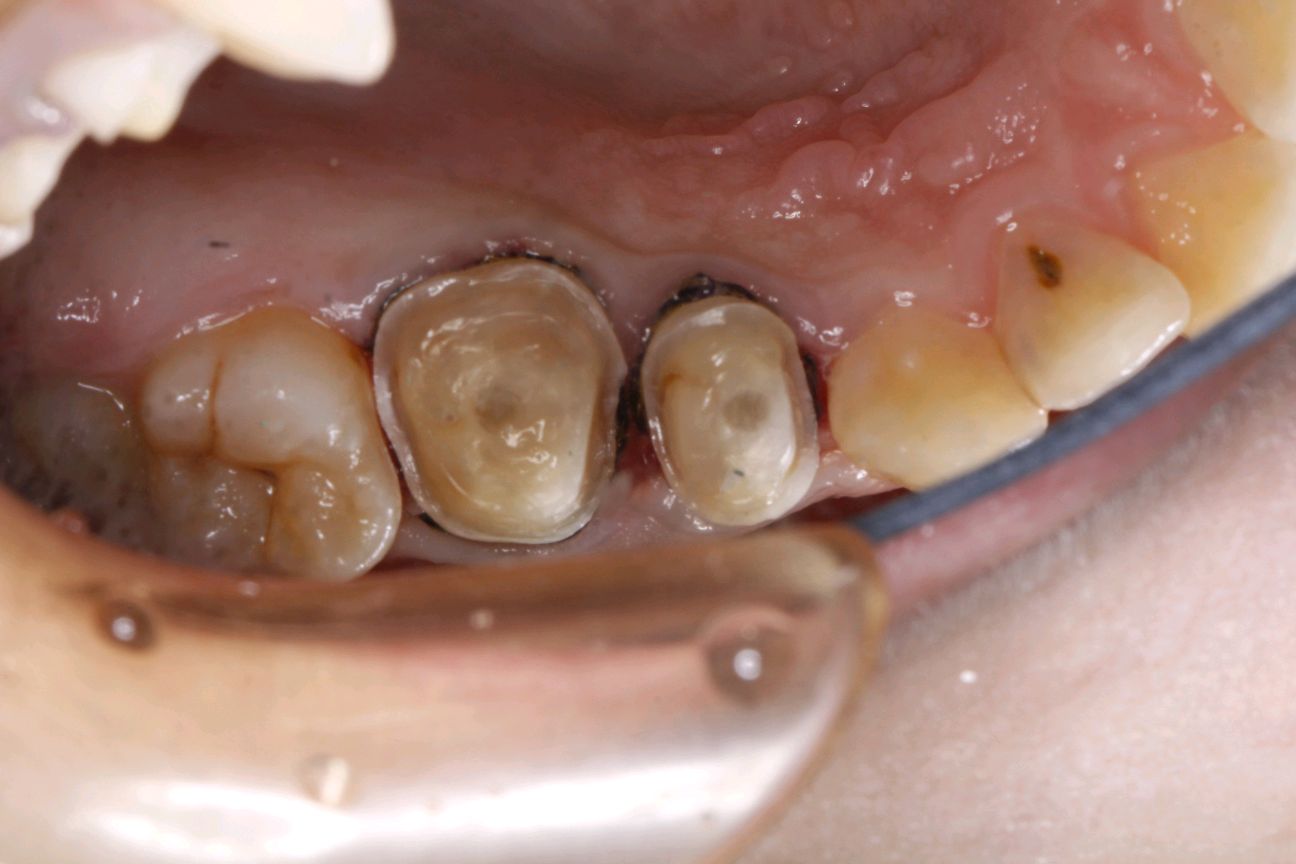
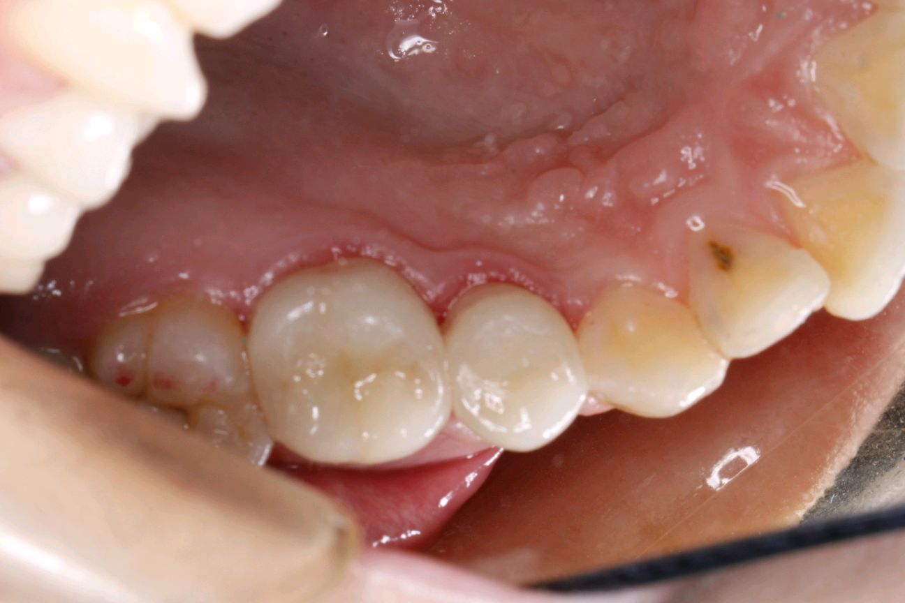
嵌体是一种嵌入牙体内部,用以恢复牙体缺损的形态和功能的修复体。

02嵌体和补牙有什么区别?
传统的补牙方法就是把蛀的部分磨掉,然后再补上材料,最后进行抛光。
传统补牙方法方便快捷,能一次完成,但是由于传统的补牙是在口内一次性完成的,整个的操作过程受到口腔唾液,以及医生在口腔内操作空间太小等等一些客观的,并且很难避免的因素的影响,最终使得补上去牙齿寿命不长,很可能引发脱落和继发龋。而且像那种面积较大的龋坏和特殊部位的龋坏,用传统补牙方法也不适用。
传统补牙做充填治疗时一般用银汞合金、光固化复合树脂等,不需要技工配合,医生可以独立完成,所需时间短、费用低。
嵌体是在口外石膏模型上由专门的牙科技师制作出来的,然后再由临床医生将其戴入患者口内,最终粘固形成。

嵌体的整个的制作过程完全避免了在口腔内部操作的干扰因素,这就使得嵌体的制作比传统的补牙要更精细;



边缘密合性好、咀嚼备感舒适,避免了传统补牙容易脱落、嵌塞食物并造成继发龋等问题;

易清洁邻面可高度抛光,形成良好的邻接关系。光滑的抛光面容易清洁,可以减少菌斑的附着;良好的耐腐蚀性,耐磨性陶瓷可以留存在世间数千年而不腐蚀,故用瓷材料做为嵌体就不存在腐蚀问题;

极佳的生物相容性和美学效果这是全瓷的特性,不存在所谓的金属过敏现象,全瓷的美学效果非常显著;
总の结
嵌体是一种少磨牙、能较好恢复咬合关系和邻接关系的有效修复方式;但同时也是一项技术要求较高的修复方式,尤其在牙体预备和粘接流程和细节的把控上难度很大,因此要求医生有较高的专业技术!
