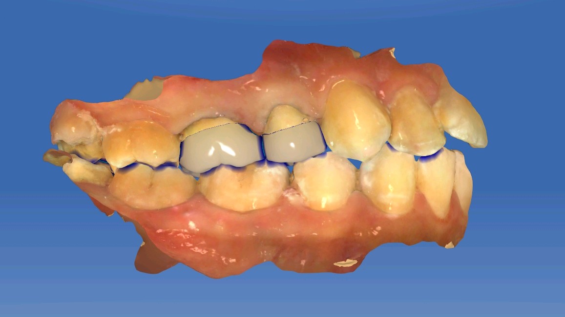
患者女,二十三岁,右上后牙食物嵌塞前来就诊。检查发现15。16,邻颌面大面积龋坏,牙体结构也发生了缺损,通过X线显示龋坏及髓,根尖大面积低密度影像。
治疗计划:根管治疗+纤维桩+高嵌体修复
小洞不补,大洞受苦!本来很简单的事情,越往后拖延就越复杂。单纯发生龋齿,未及牙髓可以通过单纯的补牙进行治疗。龋坏到达一定深度及牙髓,就是另一回事了,因为牙齿损害已穿透坚硬的牙体组织而到达营养、神经组织一牙髓,所以遇到冷热刺激会痛。一旦出现这种情况,建议进行根管治疗。根管治疗后的牙齿由于牙本质的减少和牙髓的消失,牙齿的脆性会增加。无法支撑咀嚼的力量。如果不进行修复,牙齿在咬合力作用下容易发生劈裂。所以根管后的牙齿还需要进行高嵌体或者冠修复。
所以发现龋齿应该及时看医生,避免小问题发展成大问题。那么龋病应该怎样预防呢?第一正确刷牙刷毛与牙长轴呈45°角,以2-3颗牙为一组水平颤动牙刷4-6次。早晚各刷一次,饭后漱口,正确使用牙线。第二,使用氟化物牙膏增强牙齿对酸侵蚀的抵抗力,能有效预防蛀牙。第三,少吃甜食吃完甜食多喝水或漱口,减少糖与细菌的见面机会。第四,定期检查。每年至少看一次牙医、洗一次牙。






术前

术中

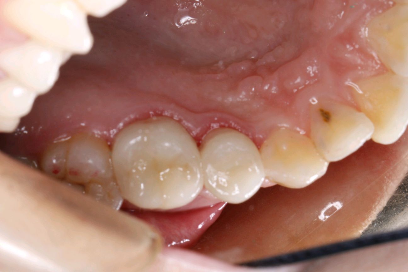
术后
