前牙修复

卢松林医生 发布于2024-02-02 19:55 阅读量480

本文由卢松林原创

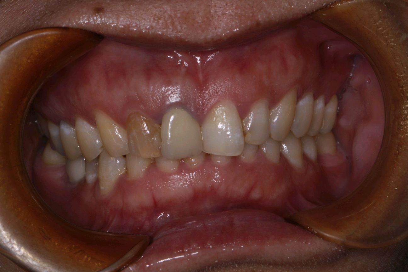
患者女,三十岁,12,11已行根管治疗,未做修复。牙齿发生了变色。其原因是牙齿出现神经炎症或坏死,经过根管治疗后,牙齿会失去来自牙髓的营养供应。这就好比一棵树一旦失去了根系,就会逐渐枯萎一样,慢慢的色泽也会发生变化。死髓的牙齿由于缺乏活力,会逐渐变色,甚至变黑,影响美观。21,23近中龋坏可行全瓷贴面,减少基牙的磨出面积的同时又能更好的恢复牙齿的自然色泽,使牙齿看起来更加健康和美观。




图片发自160App

术前


图片发自160App

术中


图片发自160App

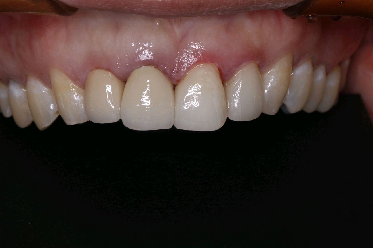
术后


图片发自160App




图片发自160App



相关疾病: