牙齿缺失是困扰许多人的问题,它不仅影响咀嚼功能,还会影响患者的自信心。随着现代医学的发展,种植已成为解决牙齿缺失的有效方法。
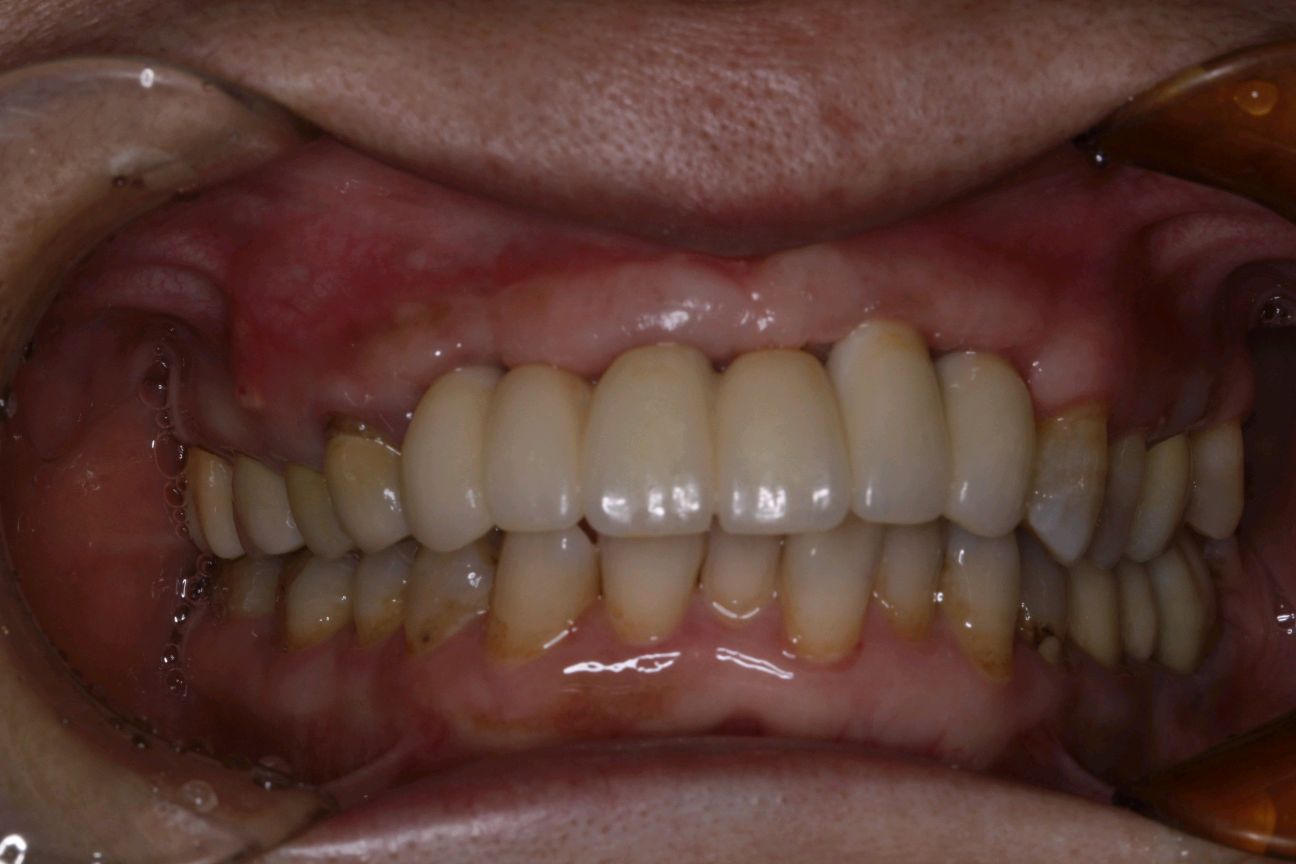
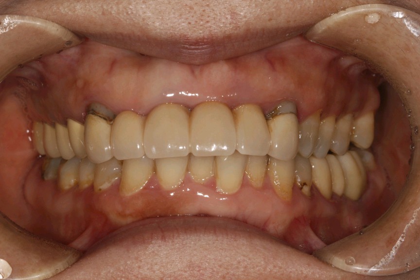
患者女60岁前牙烤瓷连冠修复近五年,自觉牙齿松动前来我院就诊。12、21缺失。13.12.11.21.22.23双端固定桥修复。松动III度。粘膜红肿,牙槽嵴吸收较多。治疗计划:拔除患牙后植骨+种植修复。患者自愿选择安卓健种植系统。13.11.22.23植入法国安卓健种植体3.4*14mm。二期三期如期进行余近日戴牙。
通过种植修复大大的提高了患者的美观度,外观与自然牙齿相似,前牙的缺失会导致面部的凹陷,而种植牙的修复能很好的改善面部形态,提升患者的自信心。也不会产生异物感,维护起来也很简便,基本不需要特殊清洁,只需保持口腔卫生即可。无论是稳定性,功能性,还是使用的寿命。都是相对较好的。
总之,种植是一种有效的牙齿缺失修复方法。希望广大牙齿缺失的患者能够选择合适的治疗方法,重拾自信笑容。

术后

术中




术前


