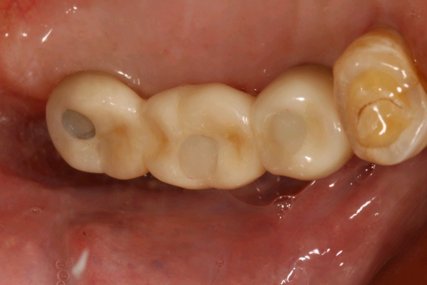
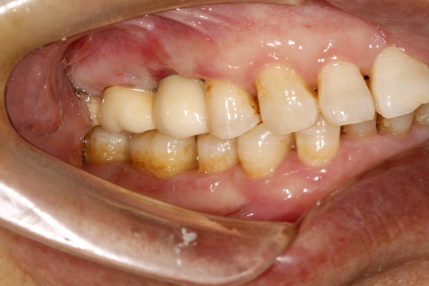
患者男,五十岁,右上后牙缺失一年。治疗计划拔出后种植修复。综合考虑患者自愿选择欧美hiossen种植体。最终15植入hiossen种植体4.5*11.5mm;16、17植入hiossen种植体5.0*10mm。二期三期如期进行。余近日戴牙。
口内的牙齿息息相关,缺少任何一颗都会影响口腔功能的完整性,后牙长期缺失,咀嚼功能会逐渐退化,导致咀嚼不便。一侧后牙缺失,会习惯性的偏侧咀嚼,从而也会影响颞下颌关节的功能。颞下颌关节是联动的关节,左侧关节运动,右侧关节自然而然也要运动。所以他要求两侧关节受力都比较均匀才会对关节有好处。长期偏侧咀嚼还会导致关节受挫,引发关节性疾病。
缺牙时间越长,对余留牙齿的影响将会越大。牙齿是陪伴我们一生的重要伙伴,口腔健康与身体健康密切相关,所以缺牙的朋友们,一定要尽早修复,及时止损







