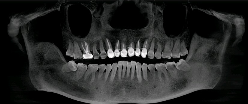
人的口腔内最少有28颗牙齿,多则有32颗。多的这是颗就是智齿。也是牙弓的最后一颗。
那么一般什么样的智齿需要拔除呢?1、阻生齿或和相邻磨牙接触不正常的智齿。2、咬腮智齿3、对颌没有牙,没有咬合功能的智齿。4、智齿本身存在牙体疾病。
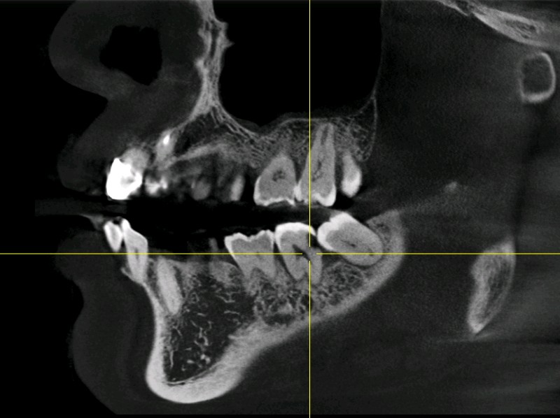
对于以上这些智齿如果不拔除会有哪些危害呢?1、会顶坏邻近牙齿。常常塞牙导致邻牙龋坏或者牙槽骨吸收。2、容易引起智齿冠周炎。智齿萌出不全异位或者阻生。牙龈与牙体之间容易形成一个狭窄较深的盲袋。易积攒食物残渣滋生细菌。时间长了就会造成智齿冠周炎起疼痛,肿胀,张口受限,严重了会导致间隙感染。3、影响咬合。智齿萌出位置异常,导致咬合关系错乱,影响颞下颌关节的正常活动。4、位置靠后不易清洁,食物残渣堆积容易发生龋坏,长期以往会发展成牙髓炎,发生疼痛的现象。
所以对于智齿带来的基本都是烦恼,与其徒增烦恼不如早早杜绝,如果你有智齿还需尽早去医院检查确认是否需要拔除,避免出现不必要的危害。




