帐篷钉引导骨再生案例

卢松林医生 发布于2023-12-31 17:15 阅读量701

本文由卢松林原创

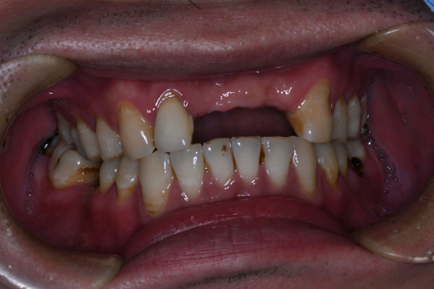
患者男,三十岁,12、11、21缺失。X线示牙槽嵴垂直和水平骨宽度不足。颊侧凹陷缺牙间隙正常。中度萎缩,无骨尖、软组织的增生,牙龈无红肿,角化龈充足。这位患者很符合帐篷钉技术的适应症。通过植入帐篷钉固定植骨材料,给新骨的再生创造了一个稳定的局部环境和生长的空间。最后植入骨粉骨膜及CGF膜,严密缝合。待骨成型即可种植修复。

术前


图片发自160App

术中


图片发自160App


图片发自160App


图片发自160App


图片发自160App


图片发自160App


图片发自160App


图片发自160App

术后


图片发自160App
相关疾病: