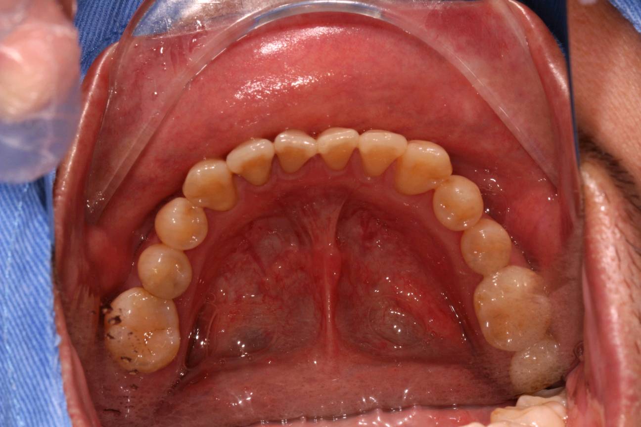
患者男,35岁,右下后牙缺失半年。口内检查:47牙体缺失,缺牙区牙槽嵴中度萎缩,无骨尖。颌龈距离约5mm。46松动+++,牙龈中重度退缩。X线示缺牙区骨密度良好。46牙槽骨吸收至根尖1/3。
治疗计划:46拔除+种植修复。47种植修复。
患者自愿选择皓圣种植体,46植入5.0*8.7mm型号。47植入5.1*7.2mm。并植入BIOSS骨粉和生物膜,CGF覆盖。定期复查,如期进行二期三期。恢复期咬合。其实很多人觉得缺颗牙齿没什么特别大的影响,其实不然,后牙单侧缺失,会导致患者偏侧咀嚼,长久下来会有大小脸的情况。而邻牙也会发生倾斜,对颌牙会伸长。对颌牙伸长会导致食物嵌塞而至其龋坏。长时间的牙体缺失可能会引起咬合的异常甚至关节的不适。
术前


术中




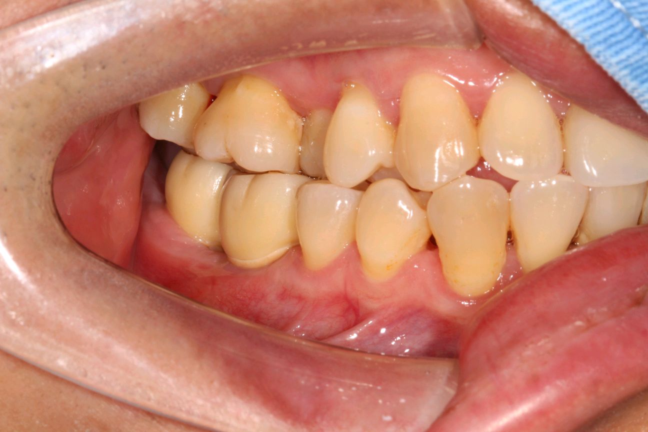
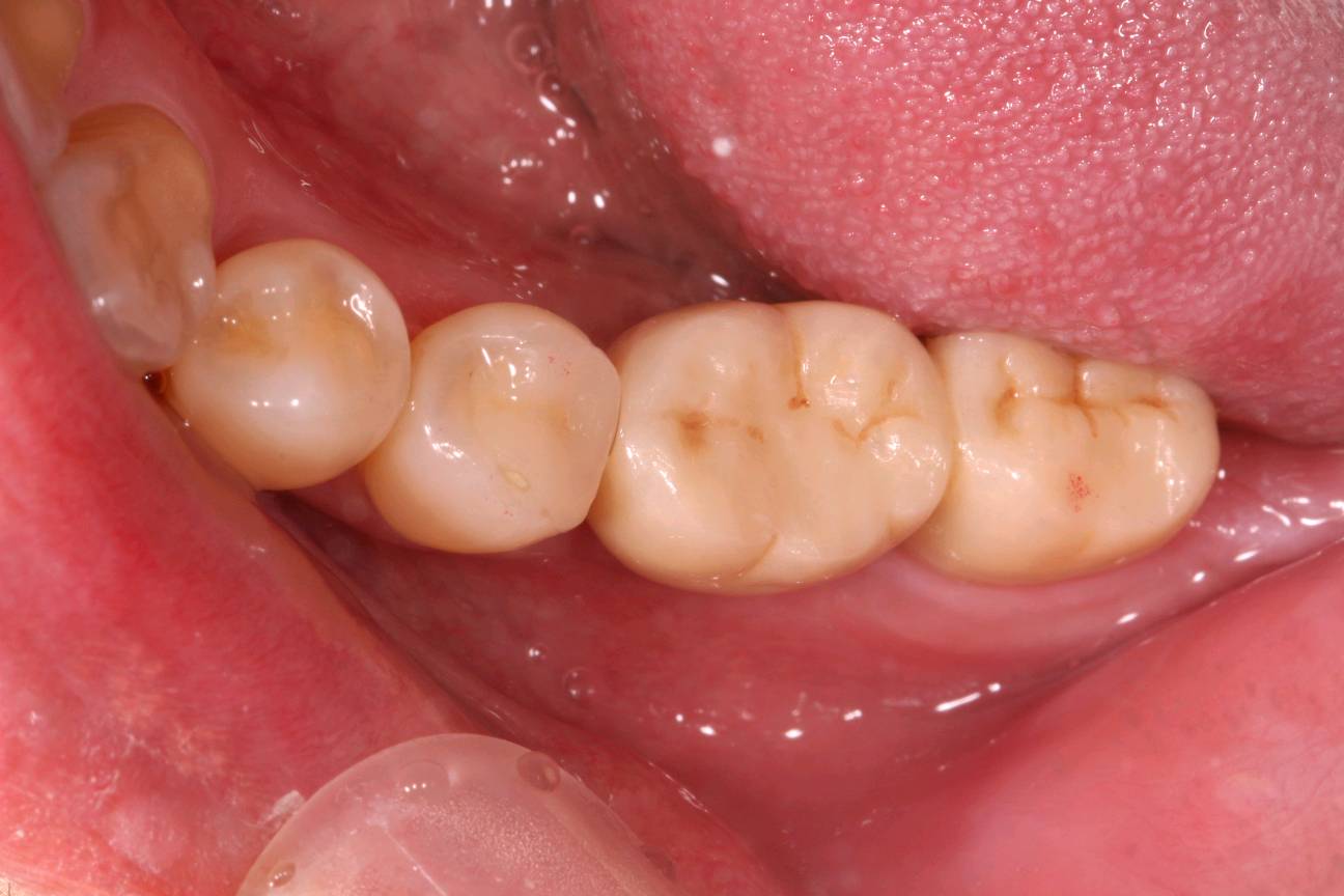
术后


