前牙贴面案例

卢松林医生 发布于2023-12-29 18:06 阅读量499

本文由卢松林原创

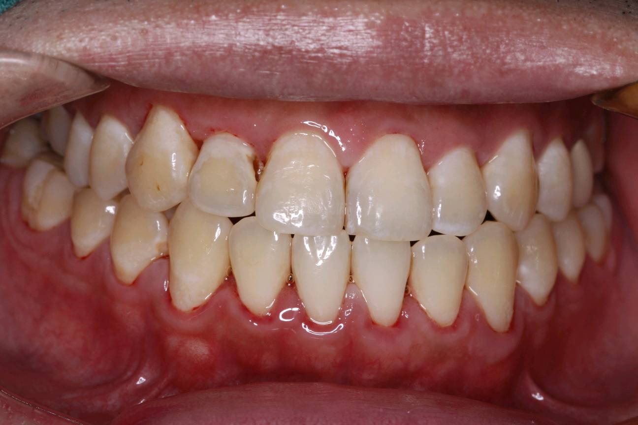
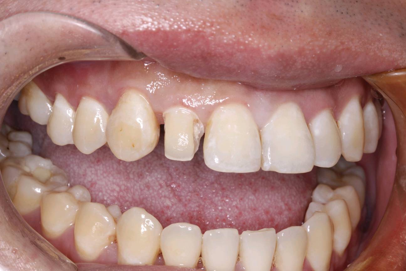
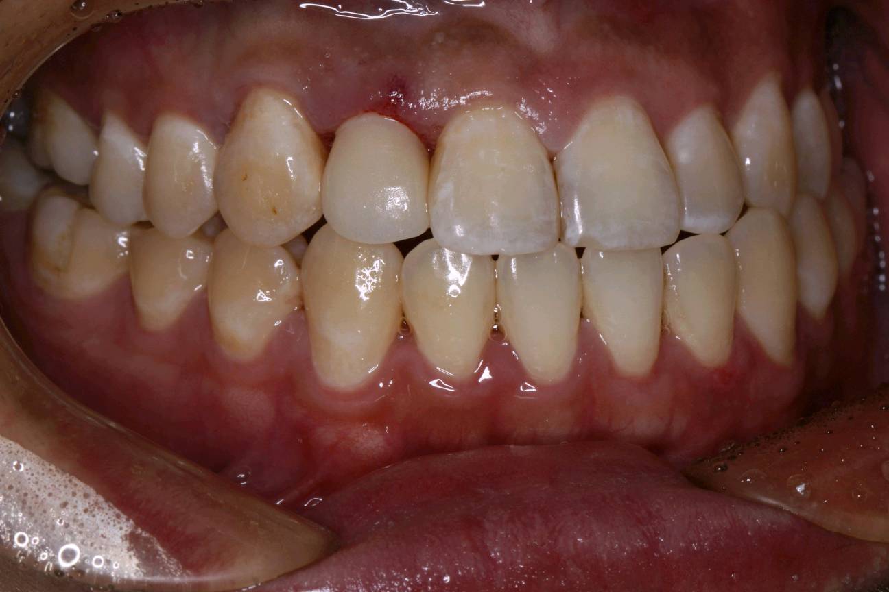
患者男三十岁,12近中邻面龋坏,经常性食物嵌塞,探+-,扣-,冷水入洞一过性敏感。牙面色泽偏黄,牙颈部呈白垩色。余无特殊。治疗计划:去腐+复合树脂充填+贴面修复。如果偶感食物嵌塞,还是要到口腔诊所及时就医检查。很有可能是发生龋坏,需要及时修复,如果出现疼痛的现象,就不能靠单纯的补牙修复那么简单了。所以每半年定期检查牙齿,才能避免出现严重的口腔疾病。通过西诺德口扫系统,3D打印口腔模型。当天上午备牙 下午即可佩戴。色泽形态自然,边缘密合,患者满意!

术前


图片发自160App

术中


图片发自160App


图片发自160App

术后


图片发自160App
相关疾病: