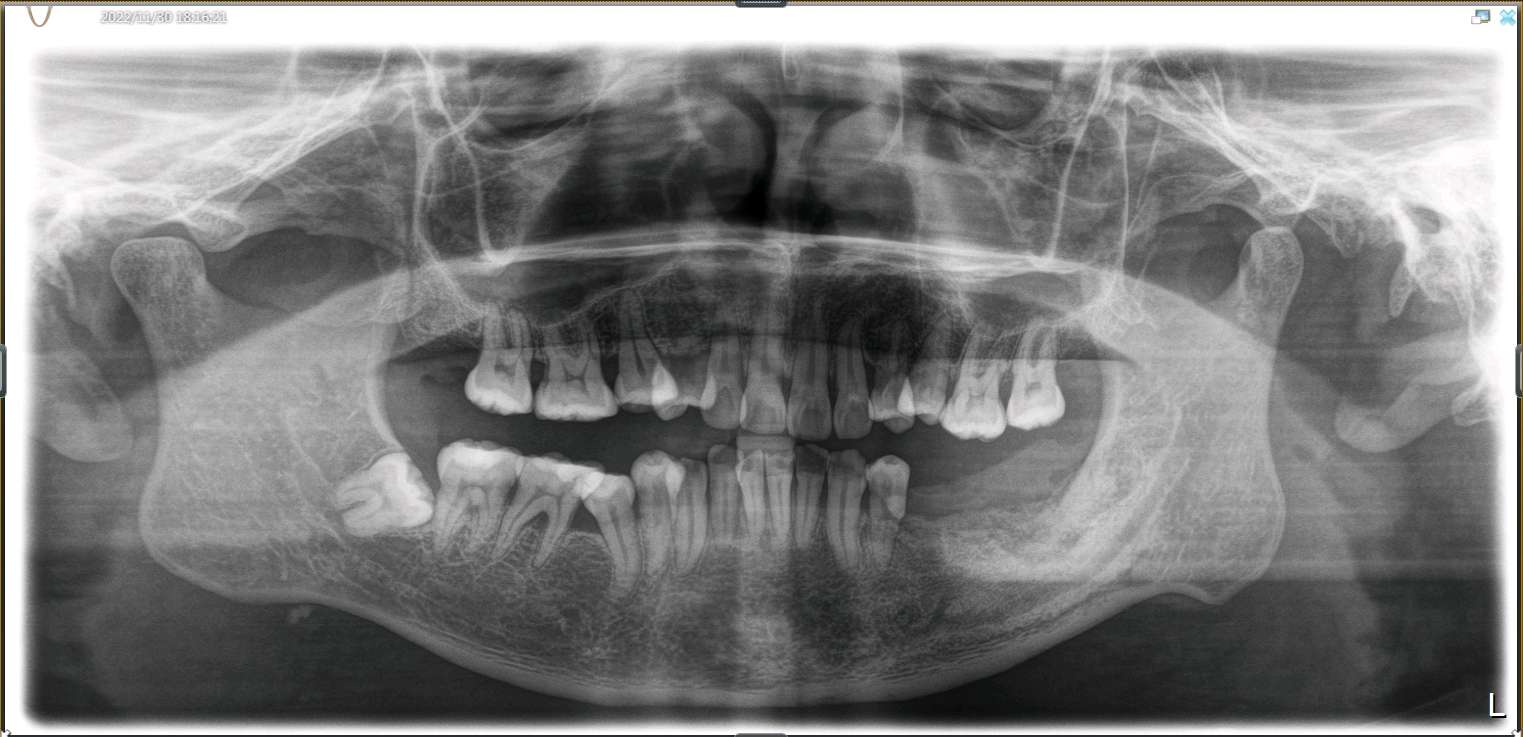
患者男,四十岁,全口口腔卫生较差。牙石+++,色素+++。左下后牙松动,X线示全口牙槽骨水平性吸收,35 36,37牙槽嵴吸收至根尖1/3。
治疗计划:1、牙周治疗
2、35,36,37拔出后植入骨粉骨膜。
3、35,36,37待骨条件良好后种植修复
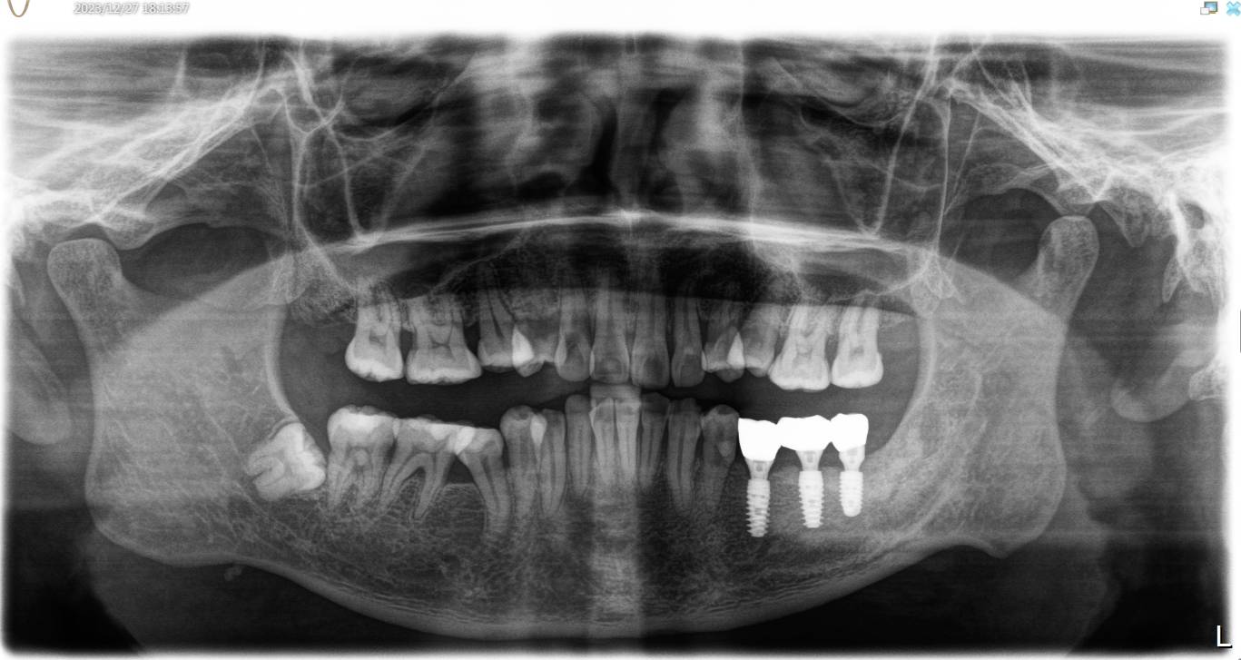
患者自愿选择安卓健种植体。牙槽嵴吸收较多,高度和宽度不足。拔出后植入骨粉骨膜。待骨条件良好后。35植入种植体4.0*10mm;36植入种植体4.6*10mm;37植入种植体4.6*8mm。待骨结合良好后。二期三期如期进行。余近日戴牙。
术前


术中




术后


