饵激光拆除瓷贴面

卢松林医生 发布于2023-12-23 20:22 阅读量870

本文由卢松林原创

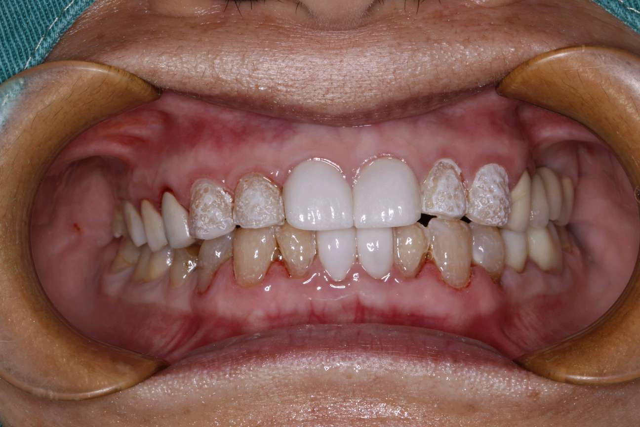
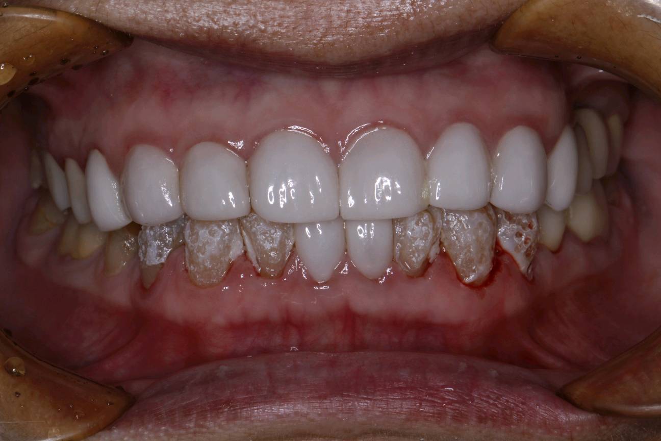
患者女四十岁,外院做瓷贴面一年,自觉异物感,色泽偏白,不美观,应患者需求保留上下颌中切牙,拆除其余修复体。为了尽量减少患者的基牙损伤,选择了饵激光拆除。传统的拆除方法像磨牙一样,一颗两颗还行,多颗的话会很辛苦,而且不可避免会磨掉自己的牙齿。所以相对于传统的拆卸方法,饵激光拆除用时会比较短,患者基本感觉不到疼痛,大大减少了拆除瓷贴面时对牙齿的损伤。无创,无痛,且高效。

术前


图片发自160App

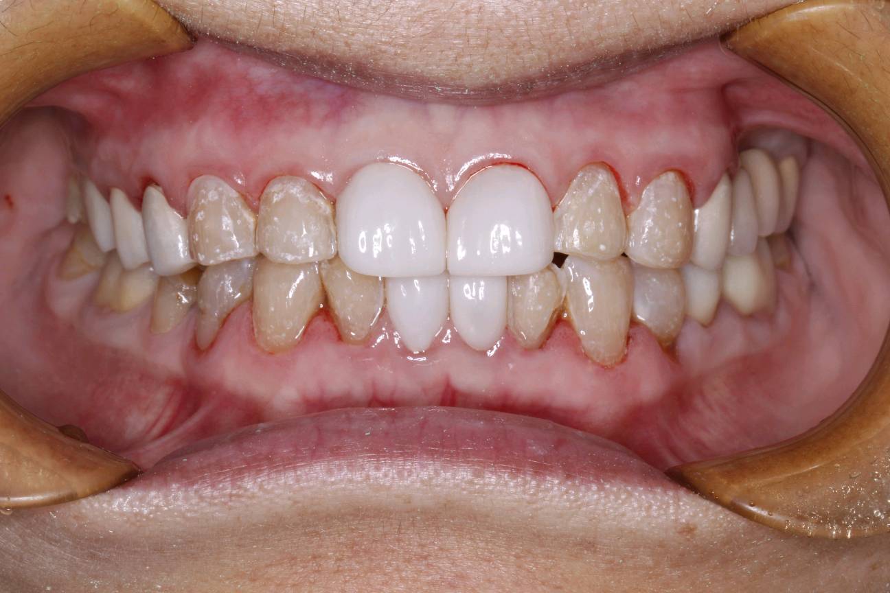
术中


图片发自160App


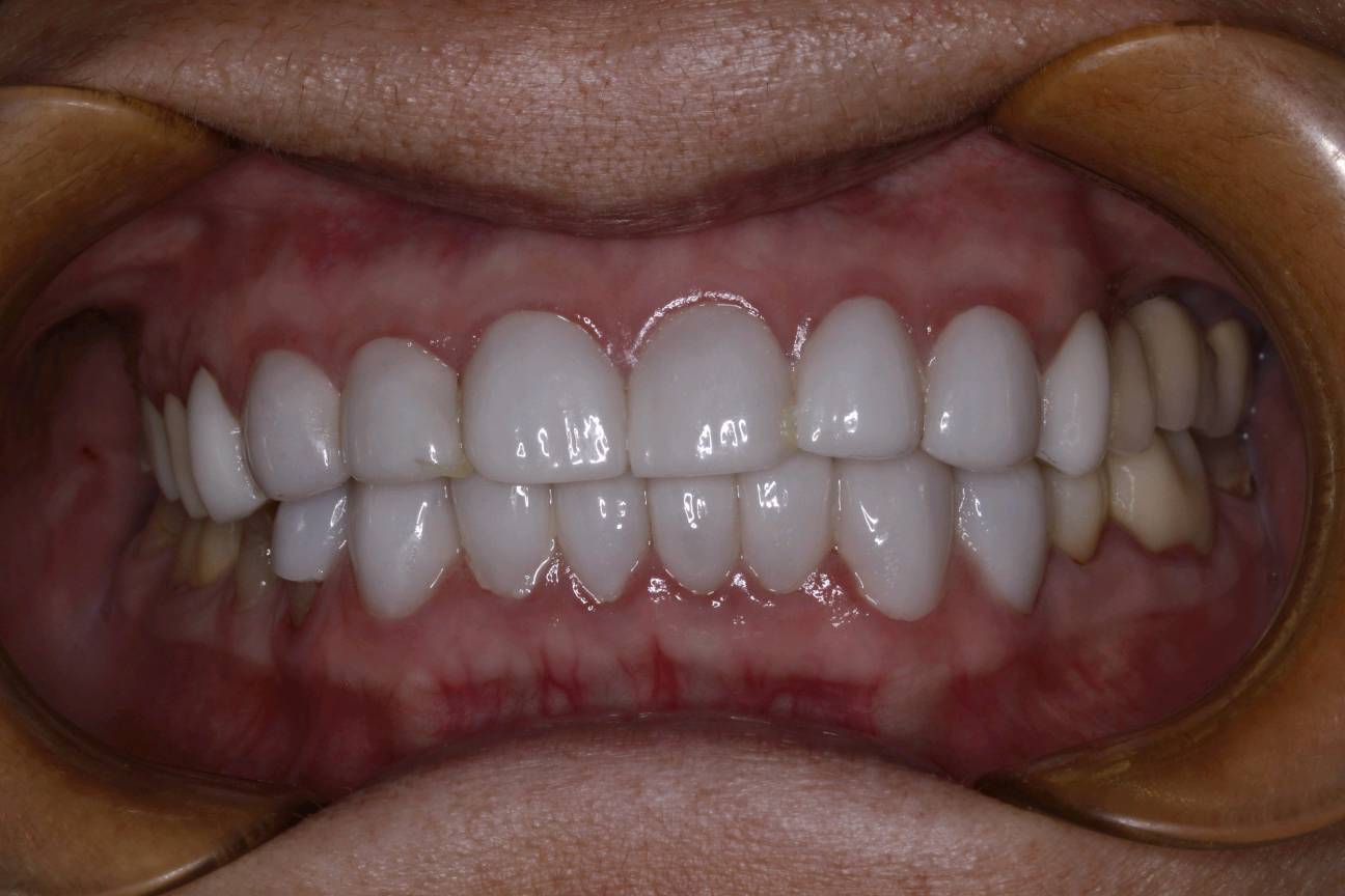
图片发自160App

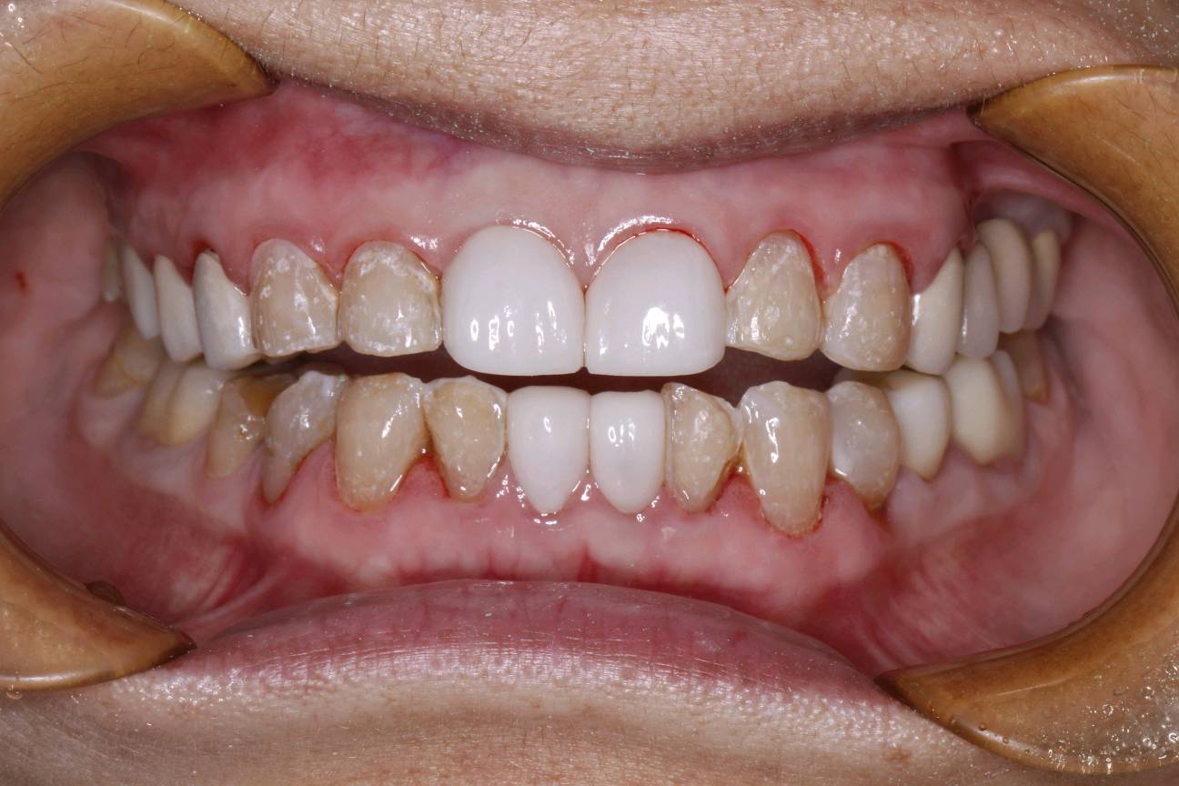
术后


图片发自160App


图片发自160App
相关疾病: