根管治疗后修复

卢松林医生 发布于2023-12-21 18:22 阅读量1076

本文由卢松林原创

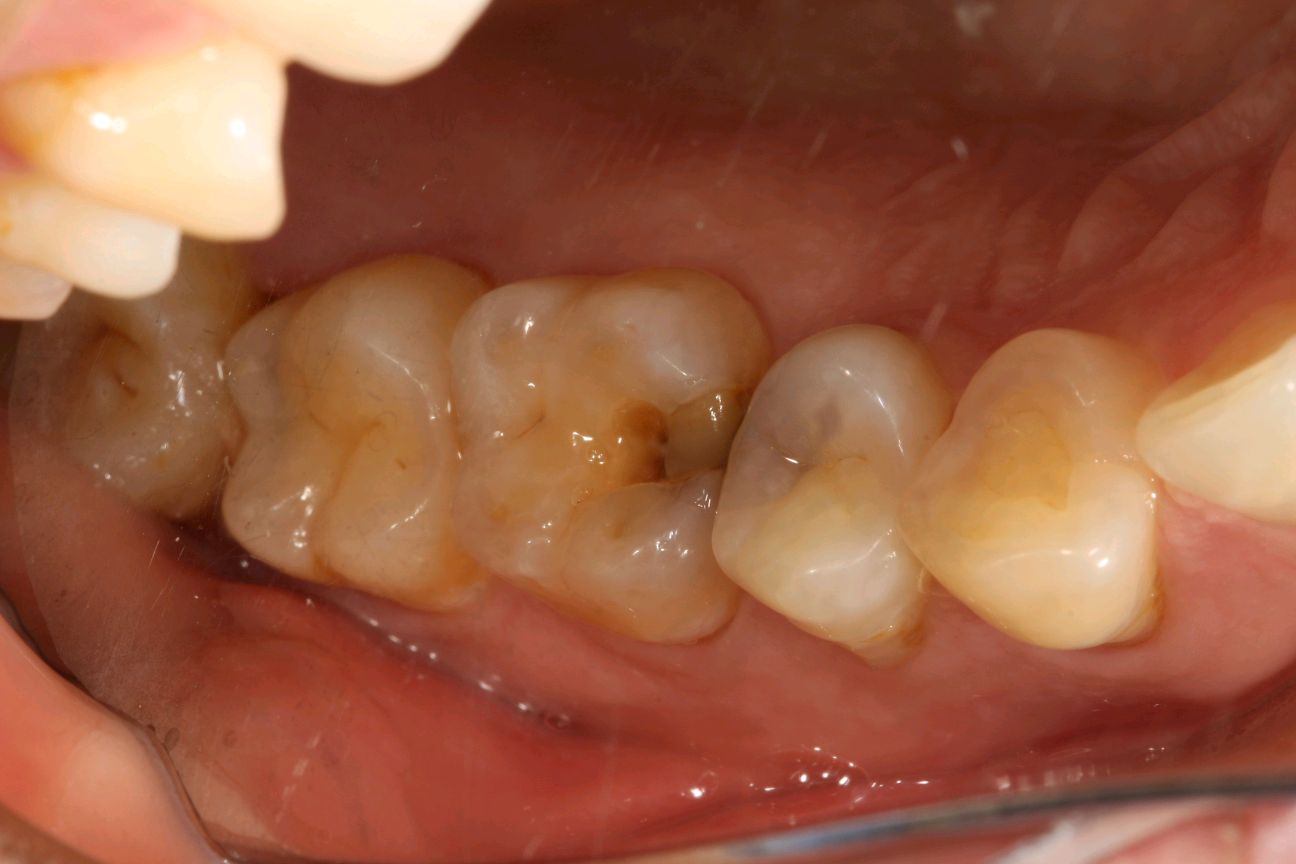
患者女,三十岁,右上后牙食物嵌塞数月,检查发现14,15邻颌面龋坏,冷热刺激痛,X线显示龋坏及髓。

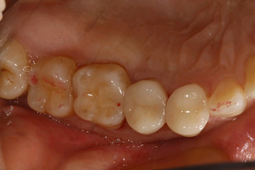
治疗方案:根管治疗+纤维桩+高嵌体修复

很多人不理解为什么做完根管治疗后还要打桩才能修复。其实这就好比房子需要柱子支撑一样,房子越大它的柱子需要的越多,柱子越多房子就越牢固。两者是相辅相成是关系。所以对于牙体缺损面积较大的患牙,我们会选择桩冠修复,延长增加牙体面积。使得牙齿更加牢固稳定增加固位力。远期效果才会更好。

术前


图片发自160App

术中


图片发自160App


图片发自160App


图片发自160App


图片发自160App

术后


图片发自160App


图片发自160App


图片发自160App


图片发自160App
相关疾病: