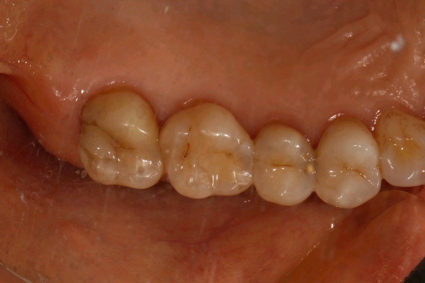
想要有一口好牙齿,做起来也不难。但是,单单口腔清洁这件小事,大多数人都没做好。你以为刷遍了牙齿的每个角落,但可能只刷了一半的牙。牙齿的外侧面、内侧面、咬合面都可以靠牙刷清洁但牙刷的刷毛却无法有效进入牙缝隙刷牙后仍有食物残渣等残留于牙齿邻面部位导致邻面龋坏。因为牙齿是肩并着肩排排站的,所以还有两个面,我们既看不到,也刷不到,称为"邻面",两个邻面就形成了一个"牙缝",在邻面发生的蛀牙就是我们所说的"邻面龋"。
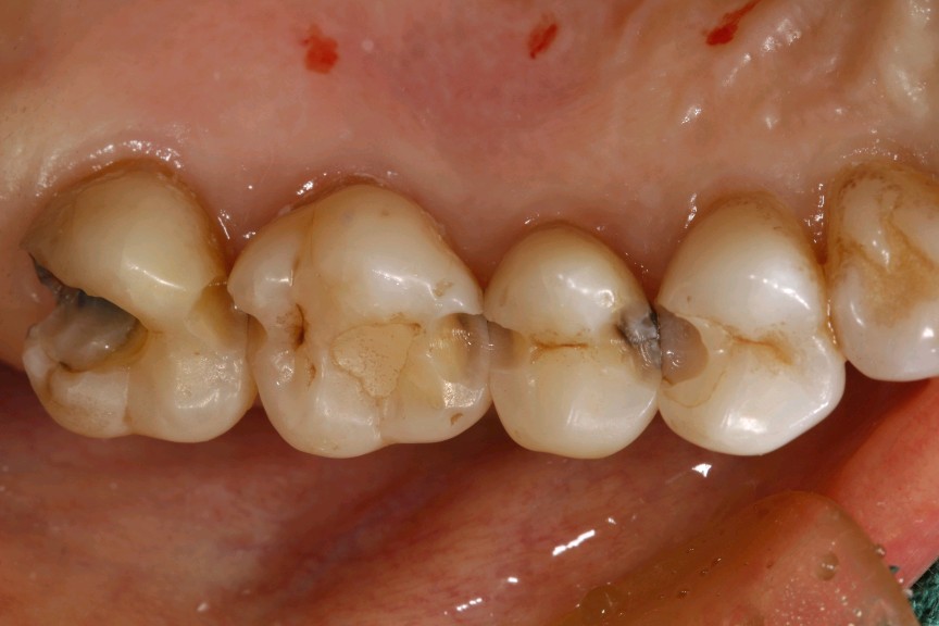
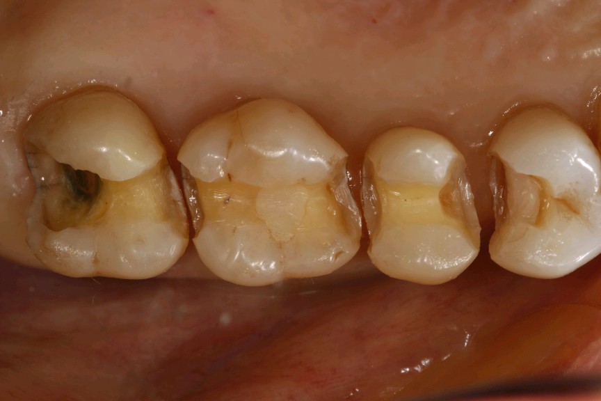
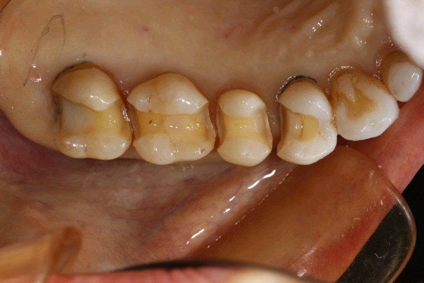
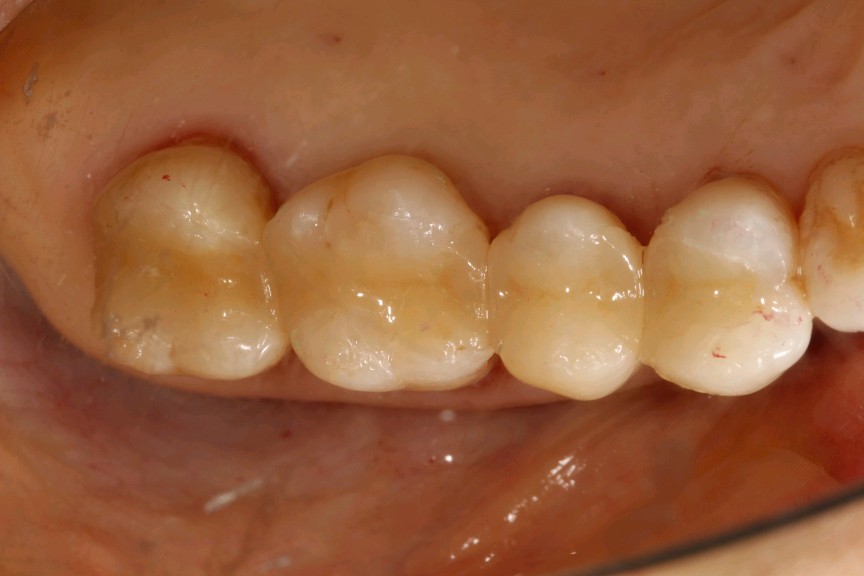
平时不易察觉,需要定期检查,这位患者就是右上后牙没有清理到位导致一个接着一个的发生龋坏,一坏坏两颗,为了更好的恢复邻接关系,我们把原有的树脂材料去除,重新预备制作嵌体,更好的恢复了牙体形态,增加了固位力,恢复正常的邻接关系,可以得到更好的清洁。口扫取模隔天佩戴,患者满意。

术前

术中




术后

