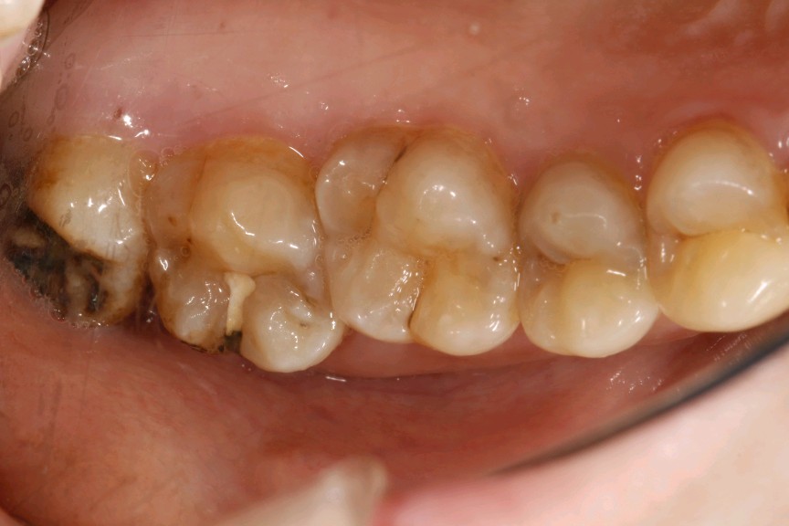
患者女,三十岁,右上后牙偶感食物嵌塞,前来我院就诊。检查发现患者前磨牙和后牙邻面发生了龋坏,询问得知患者平时没有使用牙线的习惯,进食后没有做好清洁,食物长久嵌塞在牙缝中,发生龋坏。邻面邻接关系一旦发生了一定的破坏,进食食物食物的时候就会出现食物嵌塞,食物嵌塞会刺激牙龈乳头,从而引起炎症出现疼痛。而邻面龋主要是因为牙缝难以清洁,长期菌斑食物残留,牙齿邻接面被细菌侵蚀,慢慢缺损,因为位置比较隐蔽,不易发现,当发现的时候,缺损往往比较大了。为了更好的恢复邻接关系,所以建议这位患者嵌体修复。
最后提醒大家进食后一定要做好清洁,不然波及的不止是一颗牙齿哦。所以平时除了用常规的牙刷外,还要选择用一些辅助的口腔保健用品,如牙线、牙间隙刷、冲牙器等,否则就少刷了2个牙面!
术前

术中




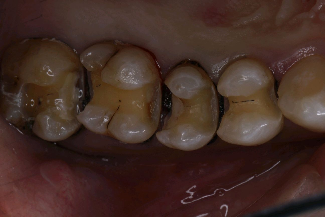
术后

