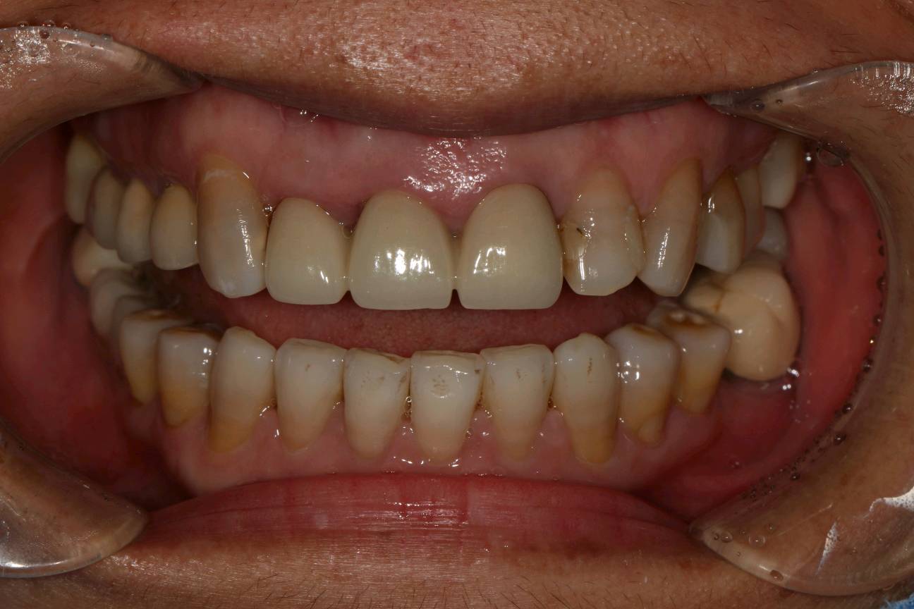
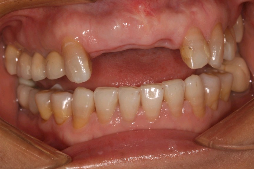
患者女,四十岁,前牙松动一个月。口内检查:12,11,21连冠修复,松动(+++),12冠根折。X线显示:骨密度良好,牙槽骨骨量不足。治疗计划:拔除+植人骨粉骨膜+种植修复。
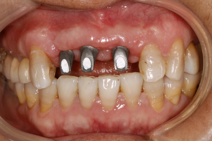
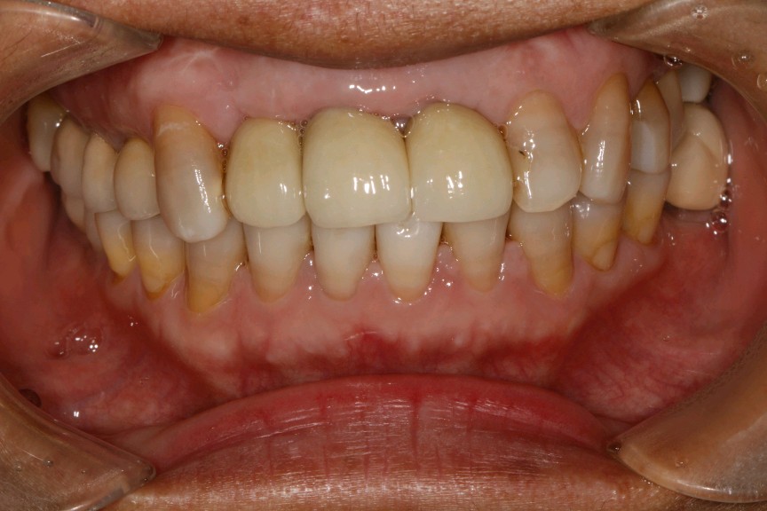
向患者交代病情、治疗计划、费用、预后等,患者知情并同意治疗。,抽静脉血20ml,12植入欧美 hiossen 种植体3.5*11.5mm,11.21植入欧美 hiossen 种植体4.0*11.5mm上覆盖螺丝,颊侧骨缺损区植入人工骨粉 傲骨0.5g及 CGF ,并盖百傲膜及 CGF 膜,严密缝和。二期三期如期进行与近日佩戴牙齿。
术前



术中




术后

