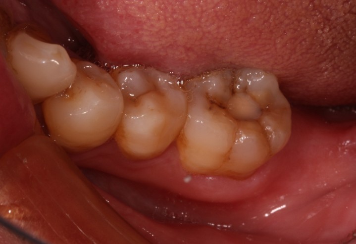
患者男,五十岁,右下后牙咬合不适,前来外院就诊。X线片显示46根尖部有阴影。口内检查发现,颌面大面积树脂充填物,周边有继发性龋坏。探-,叩+,余无不适。治疗计划:根管治疗后高嵌体修复。
补牙在操作过程中很容易受到唾液污染、口腔空间较小等因素影响粘结效果,长期磨耗容易脱落缺损。从而进一步引发继发龋。基牙很容易受损。根管治疗后的牙齿可以选择高嵌体和牙冠修复。这位患者牙体缺损不是较少,所以建议高嵌体修复。先用数字化口扫技术扫描患者口腔内备好的牙体形态,在口外模型上由专业技师制作出来,最后再由医生将嵌体粘固在缺损的牙齿上修复,因此治疗过程一般需要1-2次。更精细,密合度高,修复后牙缝不易塞牙 更好恢复咀嚼功能,窝沟点隙也更加清晰。

术前

术中






术后
