种植病例

卢松林医生 发布于2023-12-06 15:36 阅读量1156

本文由卢松林原创

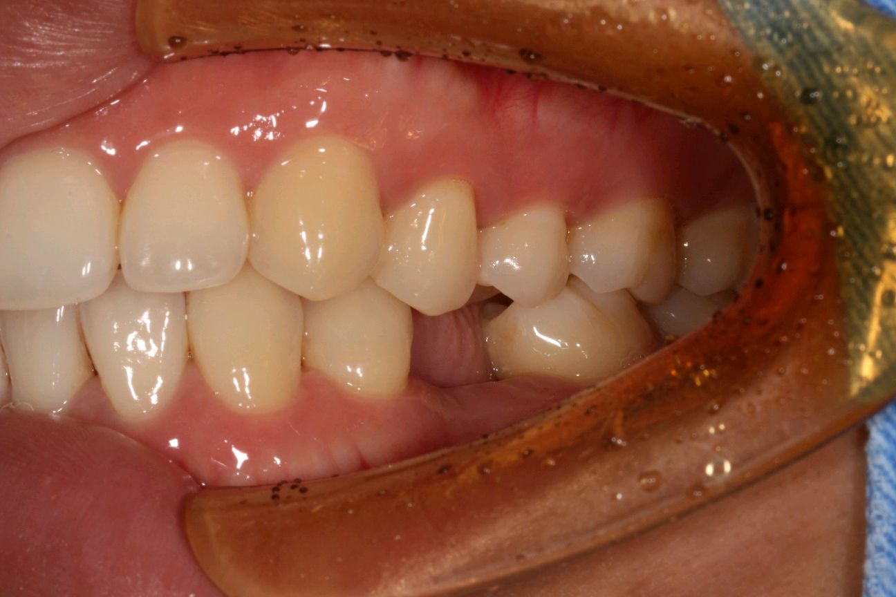
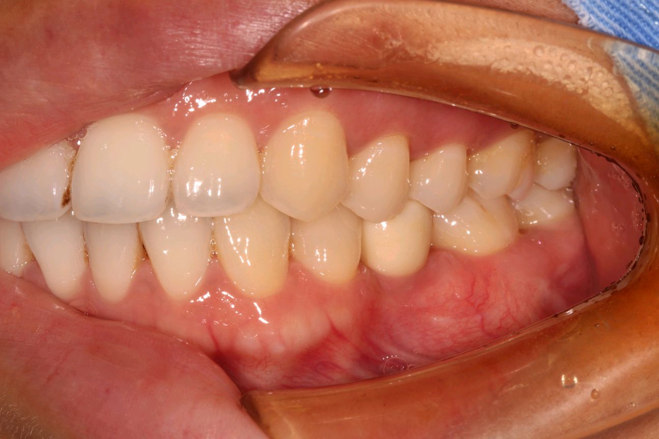
患者女三十岁,35畸形中央尖折断,根尖周炎症感染,导致牙根发育停止,根尖口呈喇叭口状。拔出后搔刮牙槽窝,颊侧骨壁吸收,植入骨粉骨膜。定期复查,将近半年见骨密度良好,骨量充足的条件下,行种植手术。植入3I 4/3*11.5mm的种植体。二期三期如期进行,与今日戴牙,患者满意。


图片发自160App


图片发自160App


图片发自160App


图片发自160App

术后


图片发自160App


图片发自160App

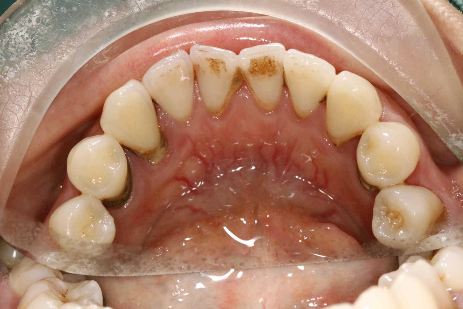
二期术后


上传中,请稍候... 上传中,请稍候...图片发自160App

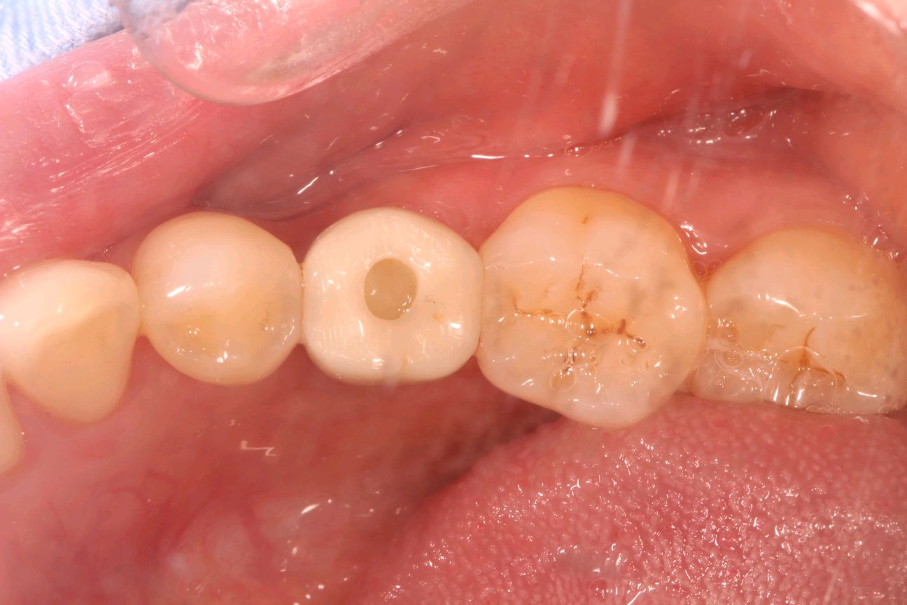
术后


图片发自160App




图片发自160App




图片发自160App



相关疾病: