前牙贴面修复

卢松林医生 发布于2023-12-03 16:57 阅读量735

本文由卢松林原创

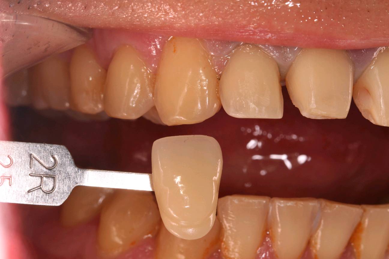
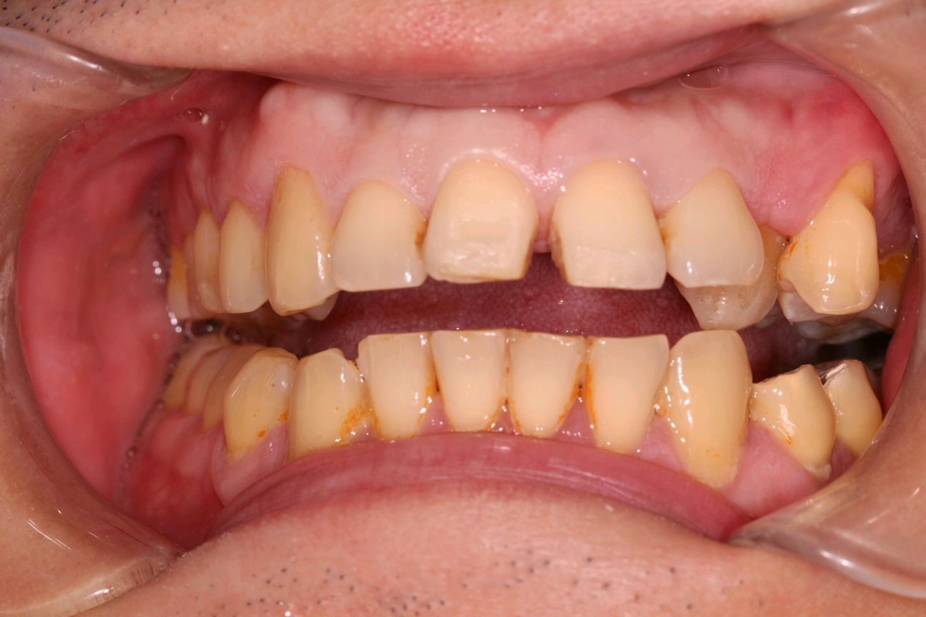
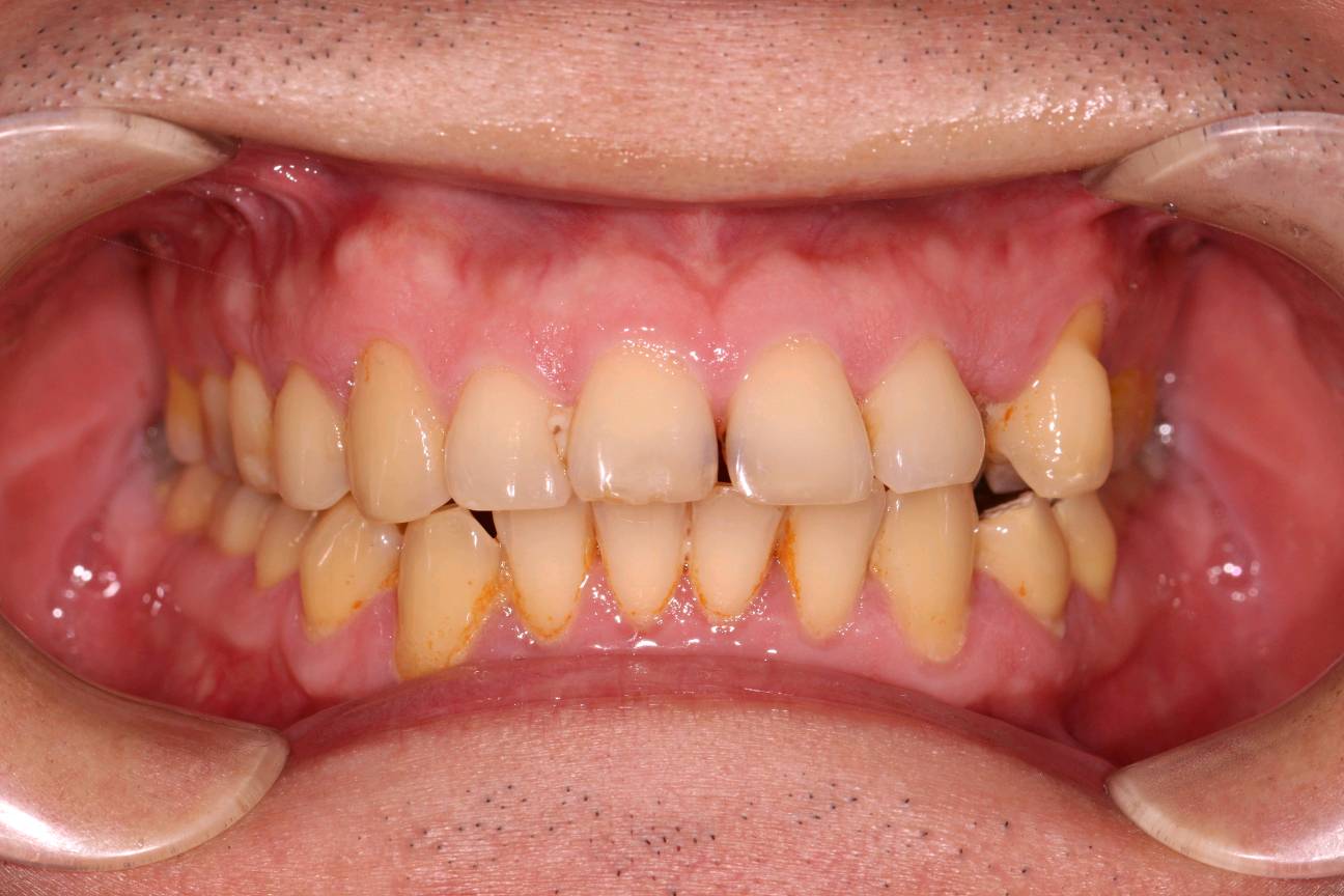
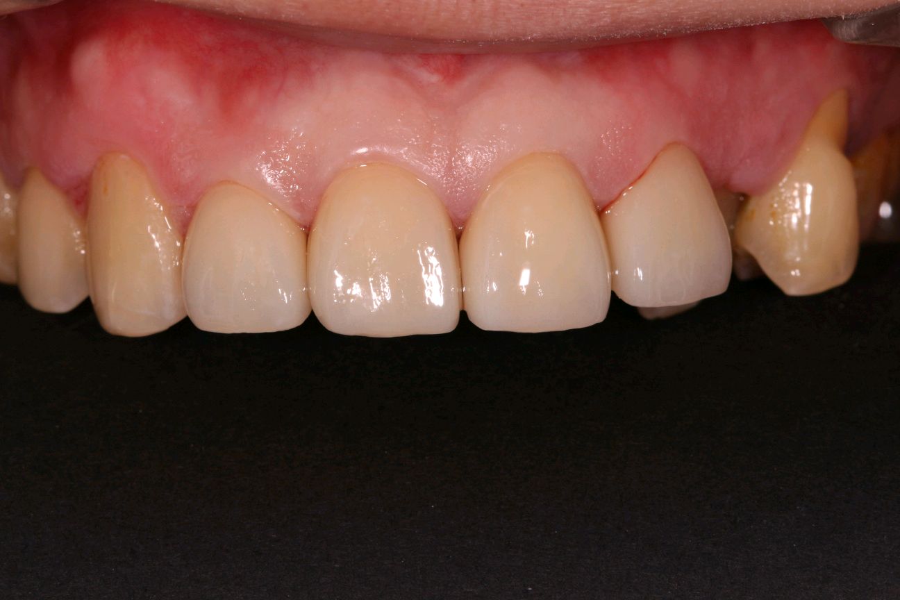
患者女,四十岁。前牙11,21邻面龋坏,探-,叩-,牙髓活力正常,。患者自觉牙缝宽大,要求修复。根据患者的需求和情况,我们向患者介绍了治疗方案1、可以通过正畸的方法关闭牙齿之间的散在间隙。2、通过瓷贴面,树脂充填,全冠修复关闭间隙。患者最终选择了通过瓷贴面修复的方法解决间隙问题。其优点就是微创,美观且适应症广泛。对于牙齿间隙,过小牙,变色牙都能有很好的治疗效果。贴面粘接后边缘密合,符合各种对修复体的质量和设计要求,患者满意


图片发自160App




图片发自160App




图片发自160App




图片发自160App




图片发自160App




图片发自160App




图片发自160App




图片发自160App



相关疾病: