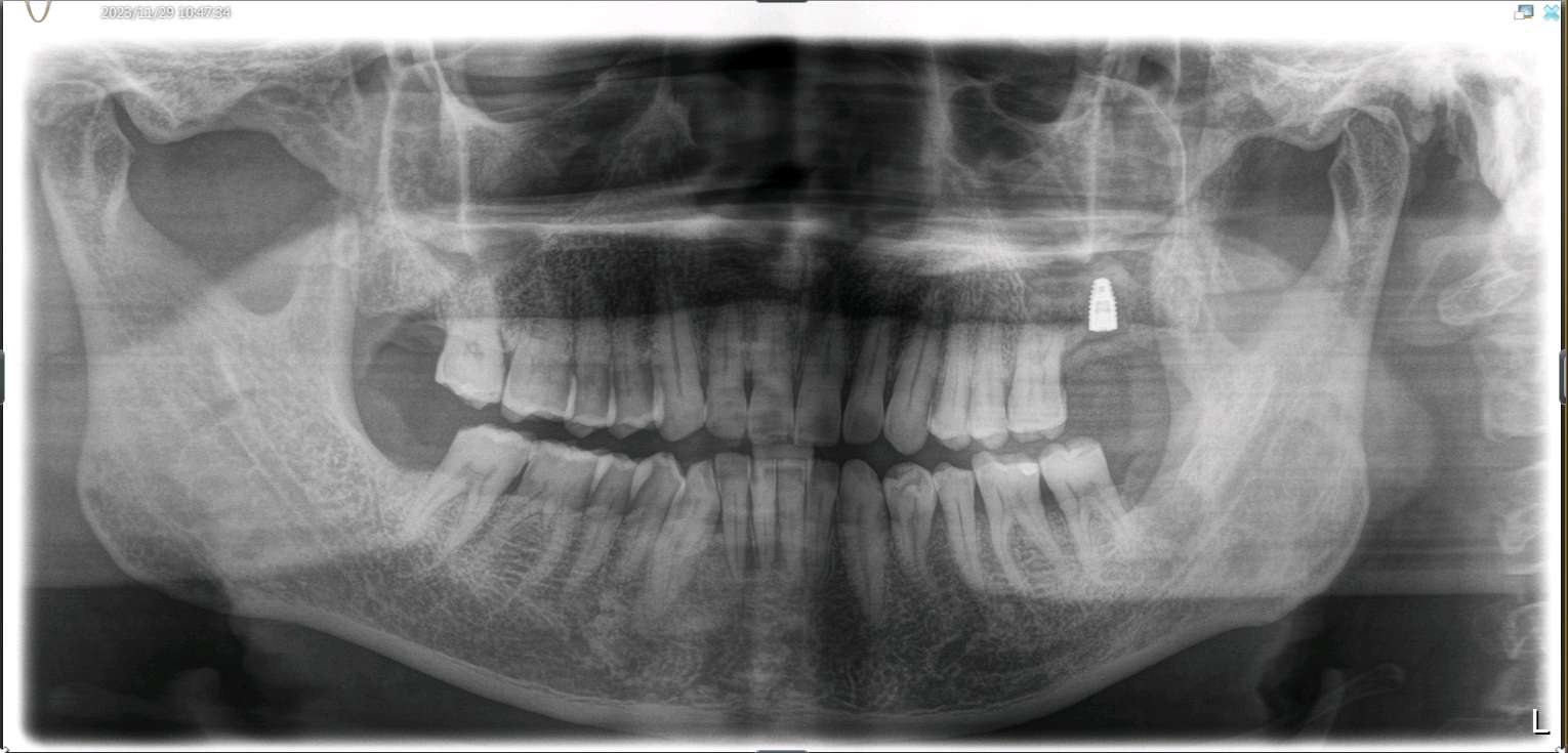
患者男,五十岁,左上后牙缺失半年。缺牙区牙槽嵴重度萎缩,无骨尖软组织的增生。邻牙见软垢结石附着,口腔卫生一般。
治疗计划1.全口龈上洁治2.种植修复(行上颌窦内提升术,植入骨粉骨膜)
患者知情同意下,抽静脉血30ml,制作 CGF ,0.1%聚维酮碘溶液口内粘膜消毒,0.5%聚维酮碘溶液口外皮肤消毒,4%盐酸阿替卡因肾上腺素注射液2.0ml浸润麻醉,牙槽嵴顶切开粘骨膜,翻瓣。见腭侧大面积骨缺损,球钻定位,先锋钻导向,骨质钻扩大种植窝,行上颌窦内提,特殊冲顶器械敲击,抬高上颌窦底部骨质和黏膜。并攻丝植入 ITI 种植系种植体4.8*8mm,上封闭螺丝,腭侧骨缺损区植 bio - oss 骨粉0.25g及 CGF ,并盖 bio - Gide 膜及 CGF 膜,严密缝合,常规医嘱,15天拆线,抗生素自备。
其实种植牙就好比种树,想要把树种好,就需要有足够的土壤,来增加稳固性。而这个土就好比种植牙所需要的牙槽骨条件。牙槽骨的作用就是支持牙齿,牙齿一旦缺失,牙槽骨就失去了它主要的作用,那么吸收萎缩也是不可避免的。所以缺失的牙齿不要放任不管,要尽早的修复起来才能尽可能的避免牙槽骨的吸收。不少人牙槽骨萎缩严重,骨量减少,是不具备种牙的条件的,到时候就要花更多的钱植骨粉骨膜,增加经济负担。






