前牙再修复

卢松林医生 发布于2023-11-24 19:43 阅读量916

本文由卢松林原创

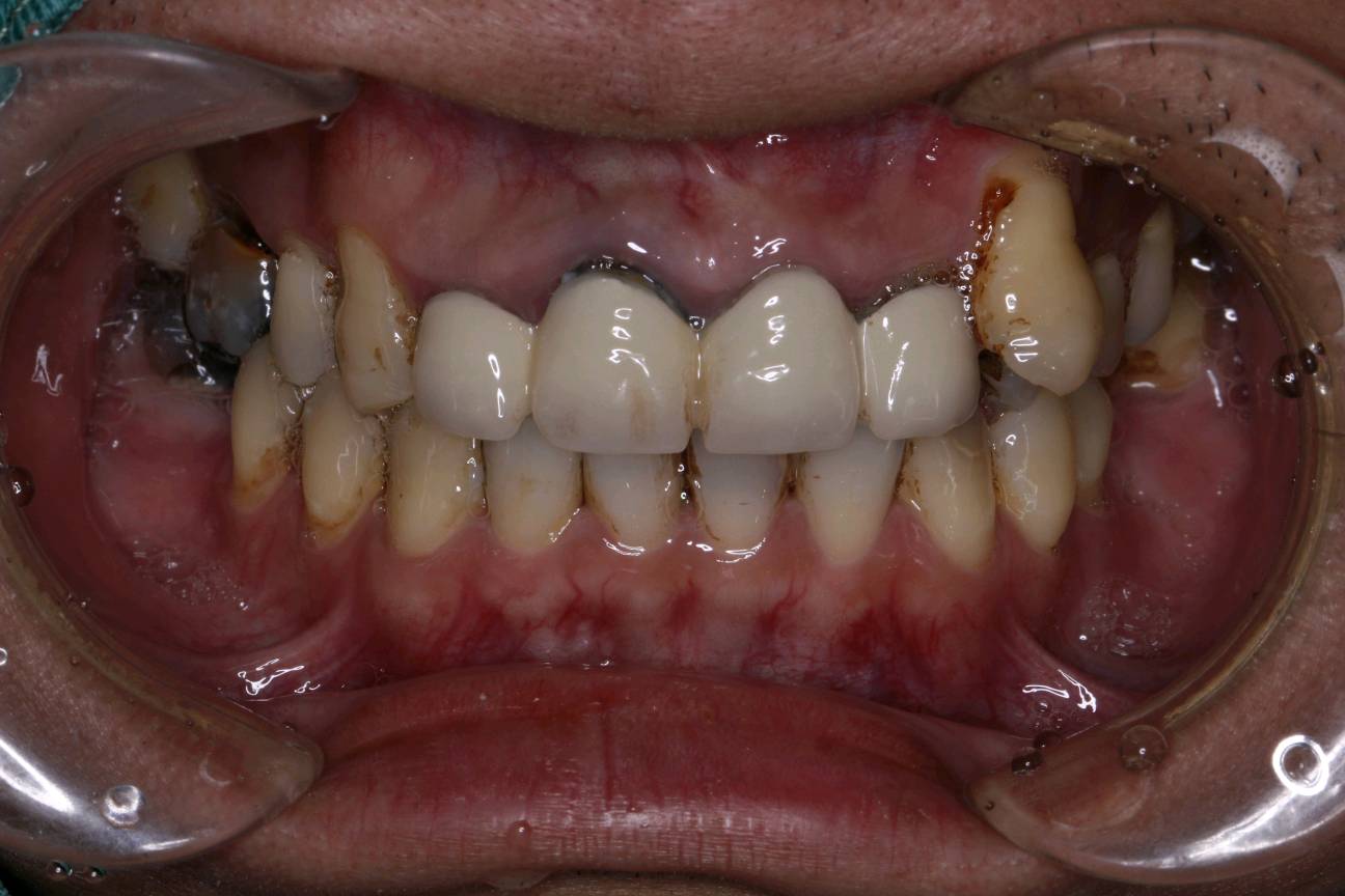
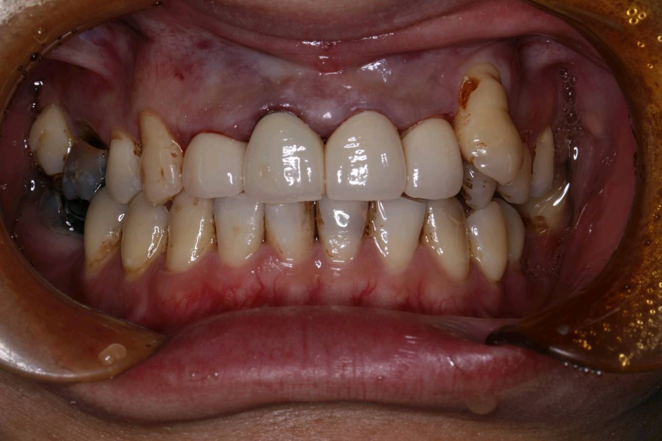
患者男三十岁,前牙十年前外院做过根管治疗和烤瓷冠修复。由于长时间烤瓷牙的佩戴,导致牙龈边缘发黑,颈缘处牙龈组织出现“黑线”。腭侧部分也出现了崩瓷的现象。对于这种情况,建议患者尽早重新修复,避免二次伤害。患者最终选择重新修复,也给出患者合理的方案,患者选择全瓷冠修复,与今日佩戴完毕。边缘密合度良好,形态色泽自然美观,患者满意。


图片发自160App


图片发自160App


图片发自160App


图片发自160App
相关疾病: