前牙贴面修复

卢松林医生 发布于2023-11-19 20:39 阅读量1156

本文由卢松林原创

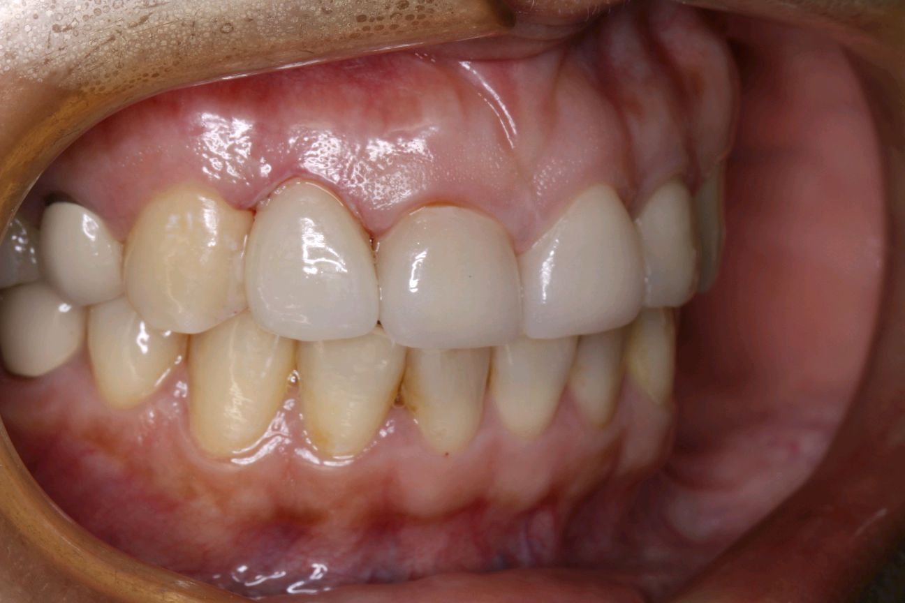
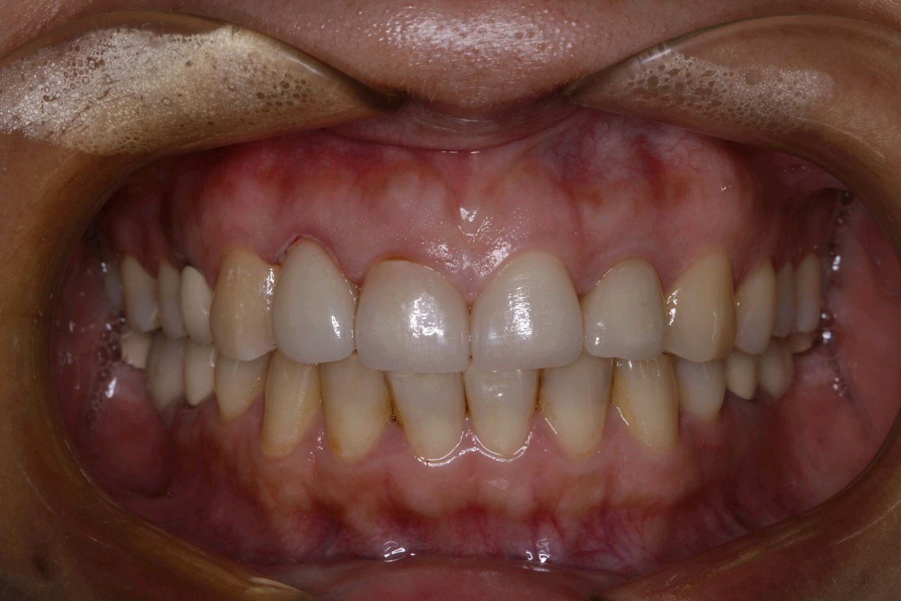
患者女40岁,12牙面脱矿不光滑,色泽偏黄,患者自觉不美观,要求修复。当天上午基牙预备,下午即可戴贴面。通过牙齿贴面靠粘接技术覆盖在自身牙面上,从而改变牙齿的色泽形状,在少损伤或不损伤牙齿的情况下就能修复牙齿的美观,快速且有效的起到美牙的作用。


图片发自160App


图片发自160App


图片发自160App


图片发自160App


图片发自160App


图片发自160App
相关疾病: