后牙种植修复

卢松林医生 发布于2023-11-15 10:47 阅读量1048

本文由卢松林原创

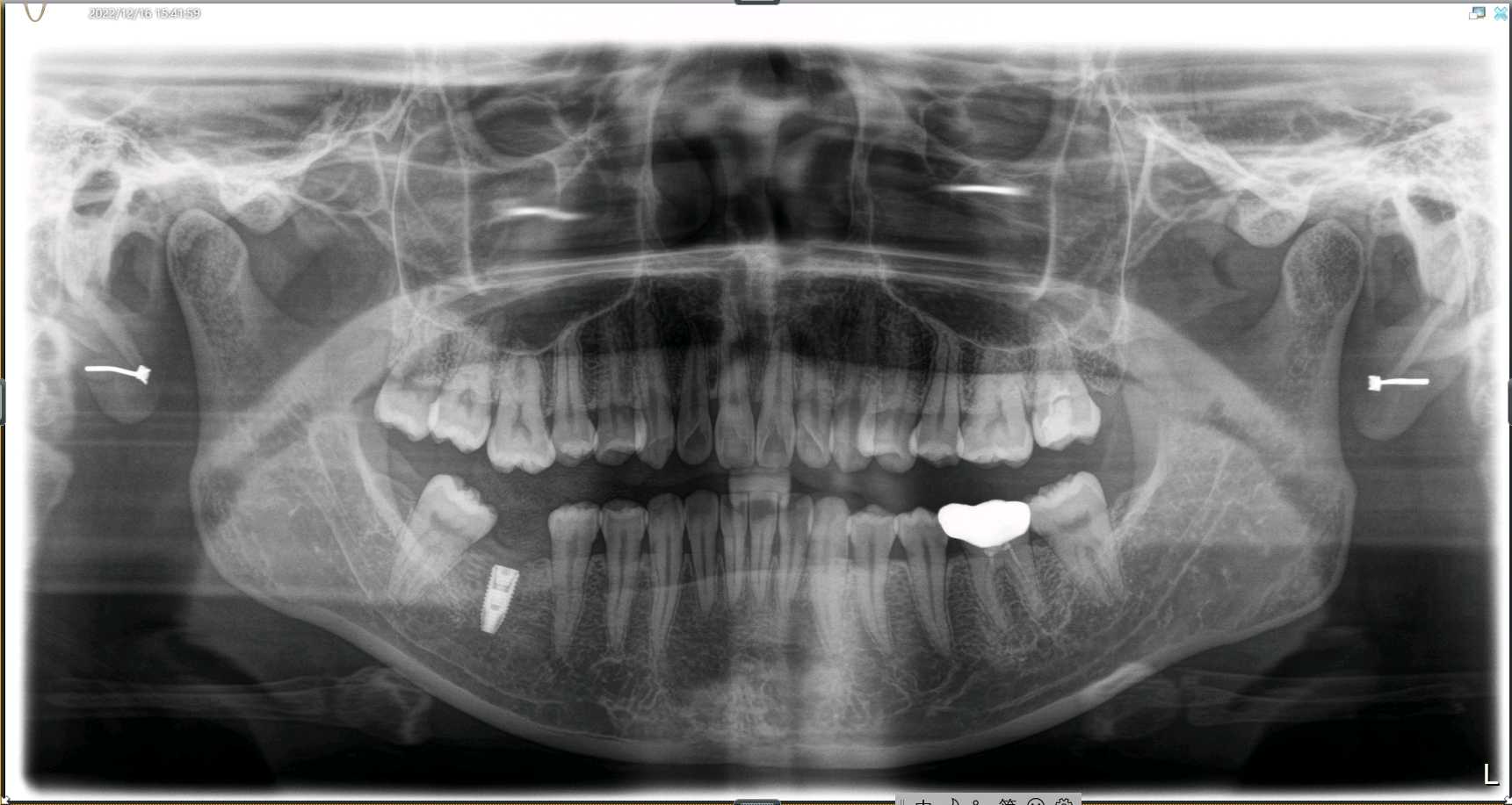
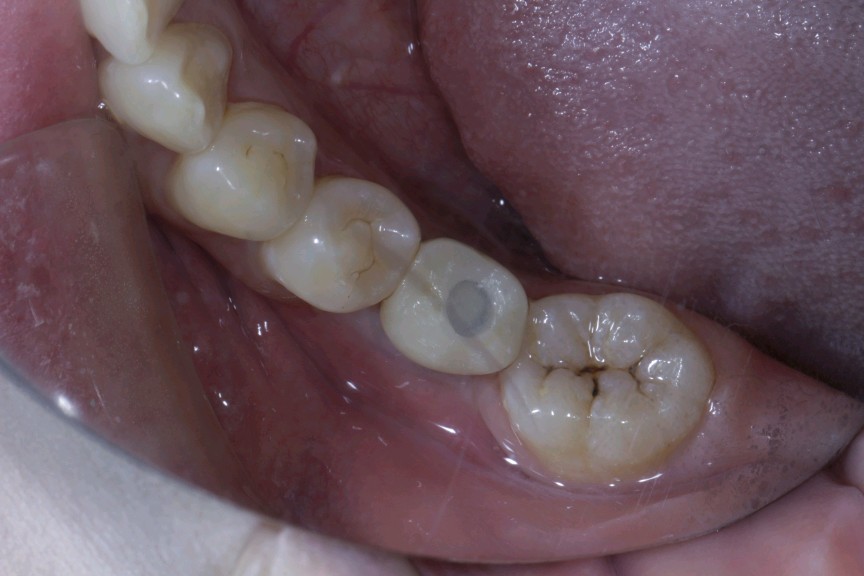
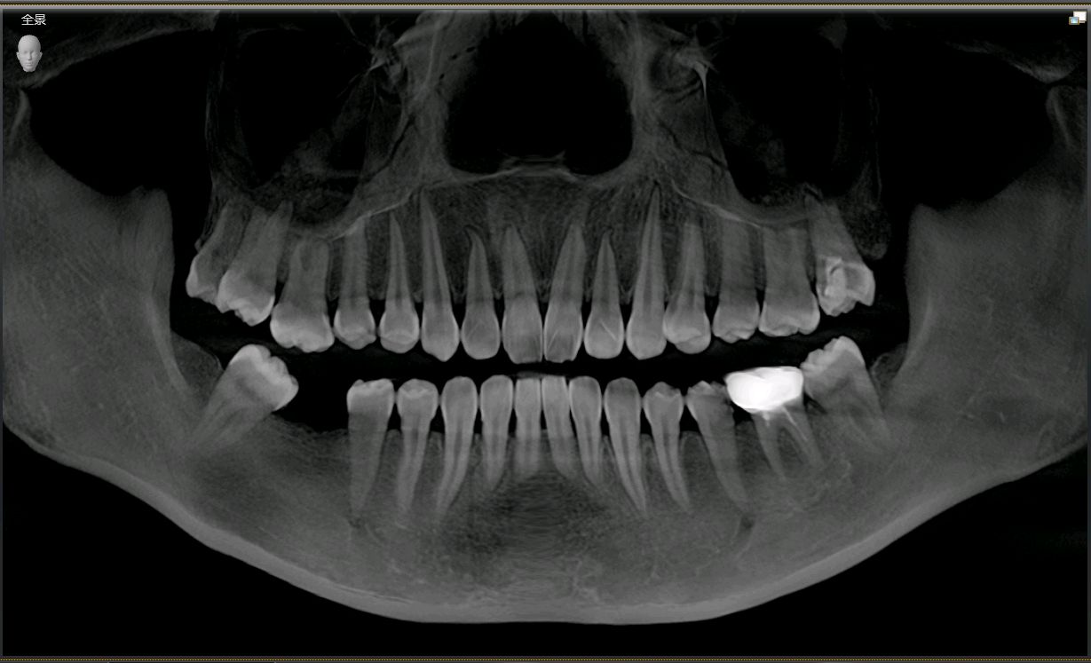
患者女,二十七岁,46牙体缺失近一年,牙槽崎吸收较多,粘膜无红肿、对合牙轻度伸长,邻牙轻微松动,龈周﹣。 x 示牙槽骨密度正常。告知患者治疗方案,患者选择种植修复。抽静脉血20ml,制作 CGF ,植Nobel Pcc 种植体4.3*10mm,上覆盖帽,颊侧骨缺损区植入 bio - oss 骨粉0.25g及 CGF ,盖 bio - Gide 膜及 CGF 膜,严密缝合。直至今日戴牙,咬合适宜,患者满意。


图片发自160App


图片发自160App


图片发自160App


图片发自160App


图片发自160App


图片发自160App
相关疾病: