后牙龋坏即可嵌体修复

卢松林医生 发布于2023-11-09 20:05 阅读量968

本文由卢松林原创

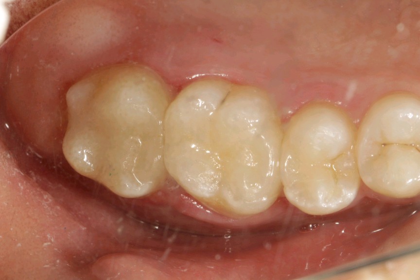
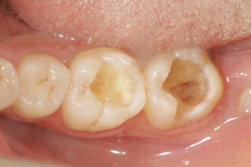
患者女二十岁,后牙深龋,去腐后牙体缺损较多,建议嵌体修复。告知患者治疗计划,患者自愿选择西诺德嵌体修复。随着口腔医学的迅速发展,嵌体以磨除牙体组织少、机械性能好、边缘密合性好、可高度抛光等良好性能,越来越多的被人们所接受。去腐备洞后,当天即可戴牙,大大提高了工作效率。


图片发自160App


图片发自160App


图片发自160App


图片发自160App


图片发自160App


图片发自160App


图片发自160App
相关疾病: