后牙多颗嵌体修复

卢松林医生 发布于2023-11-08 17:25 阅读量888

本文由卢松林原创

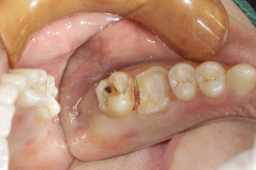
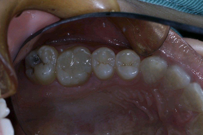
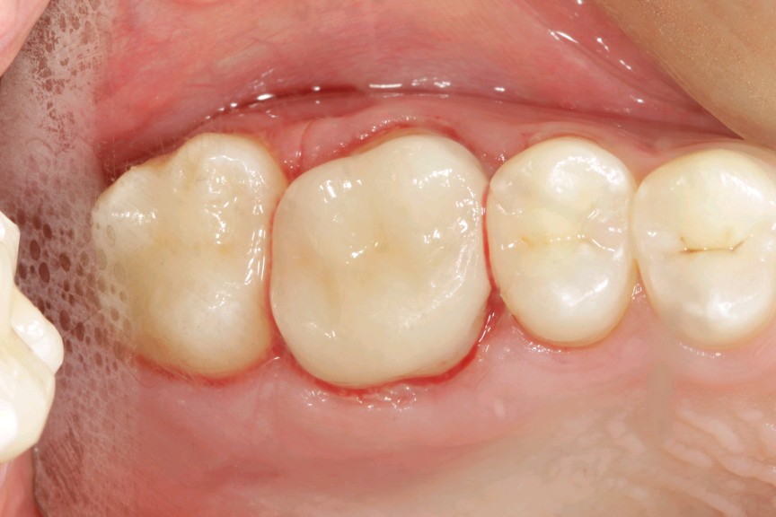
患者女22岁,左上后牙深龋,向患者交代病情、治疗计划,患者自愿选择LAVA西诺德全瓷嵌体。去腐备洞,CEREC精准扫描,当天即可戴牙,快捷精准又方便,既节约了患者的时间,又提高了医生的工作效率。为患者独家定制适合且匹配的修复体。


图片发自160App


图片发自160App


图片发自160App


图片发自160App


图片发自160App


图片发自160App


图片发自160App


图片发自160App


图片发自160App




图片发自160App
相关疾病: