树脂贴面与瓷贴面的区别

卢松林医生 发布于2023-11-05 17:27 阅读量919

本文由卢松林原创

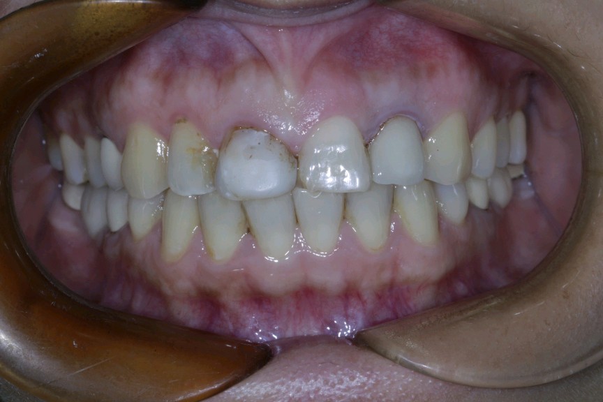
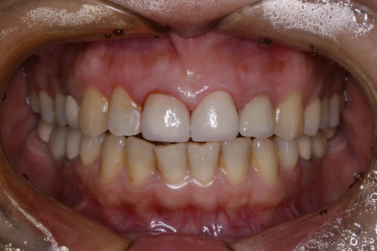
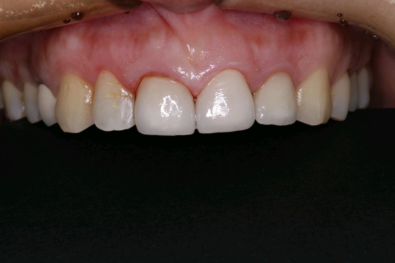
患者女,四十岁,11树脂贴面修复近五年,已氧化着色,形态色泽有差异,要求重新修复。近几日来我院就诊。治疗计划:中切牙贴面修复。基牙预备后CEREC扫描,于今日戴牙。患者满意。

相对于树脂贴面,瓷贴面的硬度会比树脂硬度要高,形态会更逼真,色泽也会通过比色选择与邻牙接近的颜色,与树脂贴面相比会更自然。还有就是树脂贴面,时间久了会出现裂痕,或者变色的情况,而瓷贴面使用多久都不会出现变色的情况。使用周期也会比树脂贴面要长。所以对美观和使用周期有要求的患者建议能做瓷贴面的情况下不做树脂贴面。




图片发自160App




图片发自160App


图片发自160App


图片发自160App


图片发自160App


图片发自160App
相关疾病: