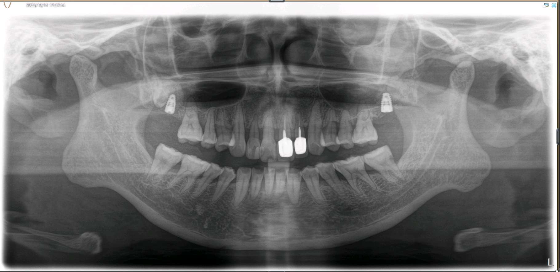
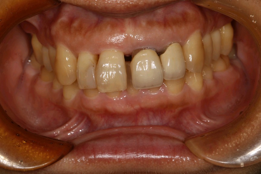
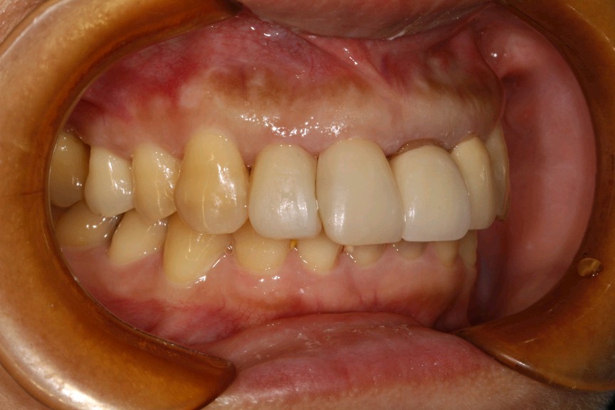
患者女,45岁。患者自述有刷牙出血症状,探易出血,探及牙周袋深度5mm,可探及袋内牙石3mm。21、22已行根管治疗加桩冠修复,牙龈萎缩,边缘不密合,21牙颈部楔缺。中切牙之间缝隙较大。12邻面部分充填物。。X线示根尖无阴影。患者自觉前牙不美观,要求重新修复。
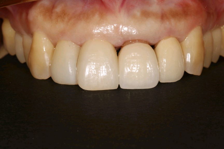
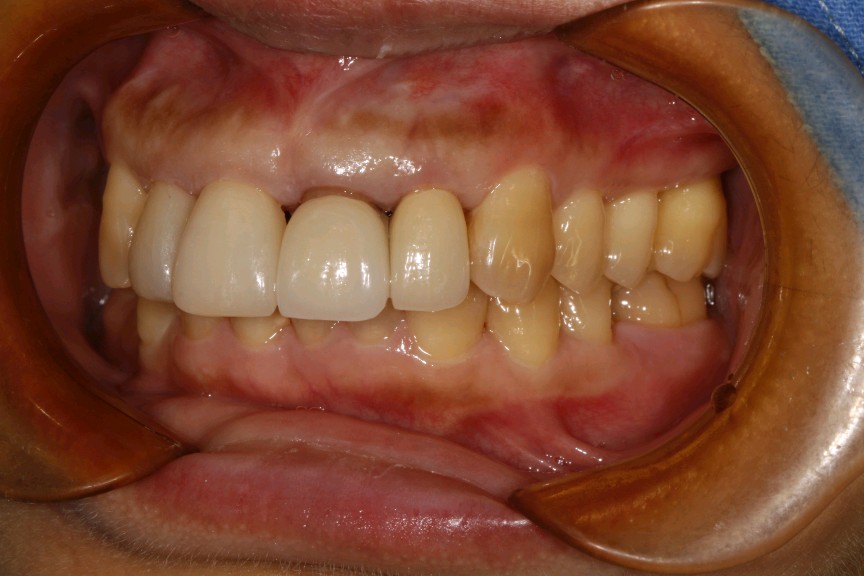
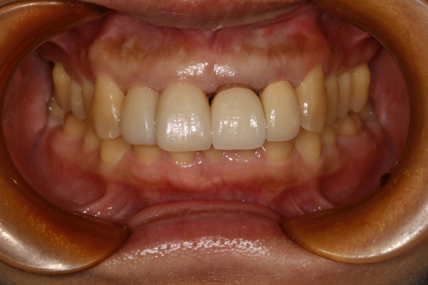
治疗计划:1、牙周治疗。2、21,22饵激光拆除牙冠。清理基牙,重新预备,西诺德全冠修复。3、11、12贴面修复。
这位患者就是错误的刷牙方式,加上牙周炎导致的牙龈萎缩,牙颈部暴露。最终只能拆除重新修复。既费钱又费时间。所以往往一些不起眼的小问题,生活中的一些不良小习惯,日积月累就会出现从小问题发展成大问题。使得前面的工作功亏一篑徒劳无功。一定要谨遵医嘱,使用正确刷牙方式,定期复查,及时发现及时杜绝。







