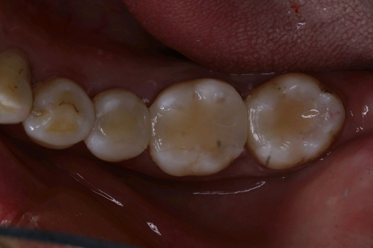
患者女,五十岁,45、46、47邻颌面深大龋坏,探(+-),叩(-),冷测试正常,余无不适。向患者交代病情和治疗计划,患者自愿选择西诺德全瓷嵌体修复。去龋坏,基牙预备,排龈,精修,CEREC扫描。弹性树脂暂封。当天预约时间,即可佩戴牙冠。
很多人牙体缺损面积较大,补牙后很会出现脱落的现象,像这种面积比较大的龋齿单纯补牙的话,不耐用。这时候就可以选择嵌体修复。嵌体牙体预备量少,能够保持牙齿外形的完整,减少对牙髓的刺激。还有就是嵌体更耐磨使用寿命较长,从而减轻了患者频繁补牙的痛苦。通过CEREC扫描更加精准有效的提高了我们工作效率,当天即可戴牙,正常使用。






