先天缺失的牙齿如何修复

卢松林医生 发布于2023-11-02 14:42 阅读量911

本文由卢松林原创

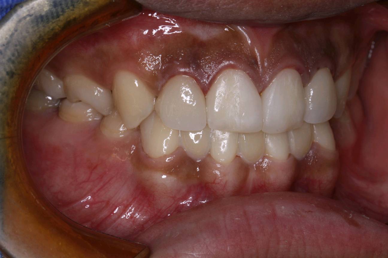
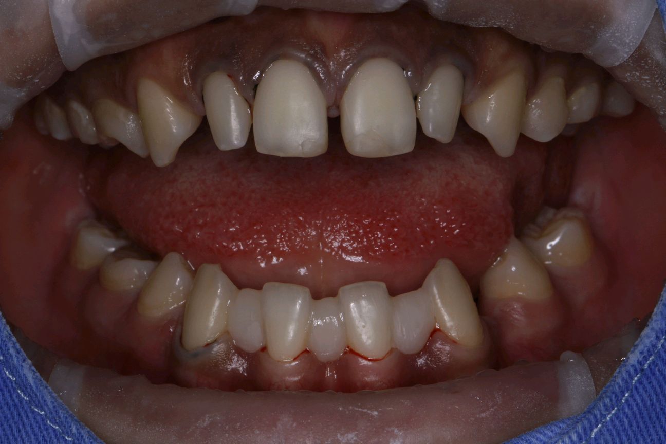
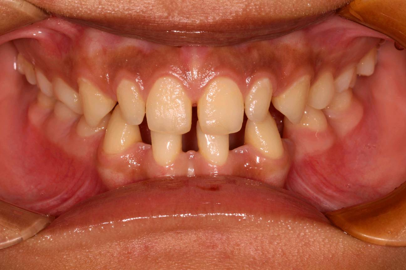
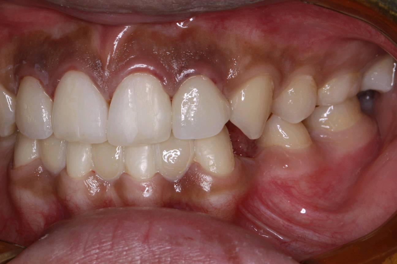
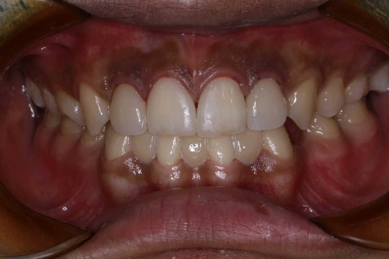
患者女,17岁,14,16,24,26,31,35,37,41,45,47先天缺失。上下前牙散在间隙,上颌侧切牙为过小牙,影响美观,告知患者治疗方案,患者自愿选择贴面修复。下前牙硅橡胶制取平面导板,缺失牙位树脂塑形粘接固化,基牙预备贴面,CEREC扫描,制作贴面,当天即可戴牙 患者满意。




图片发自160App




图片发自160App


图片发自160App


图片发自160App


图片发自160App


图片发自160App


图片发自160App
相关疾病: