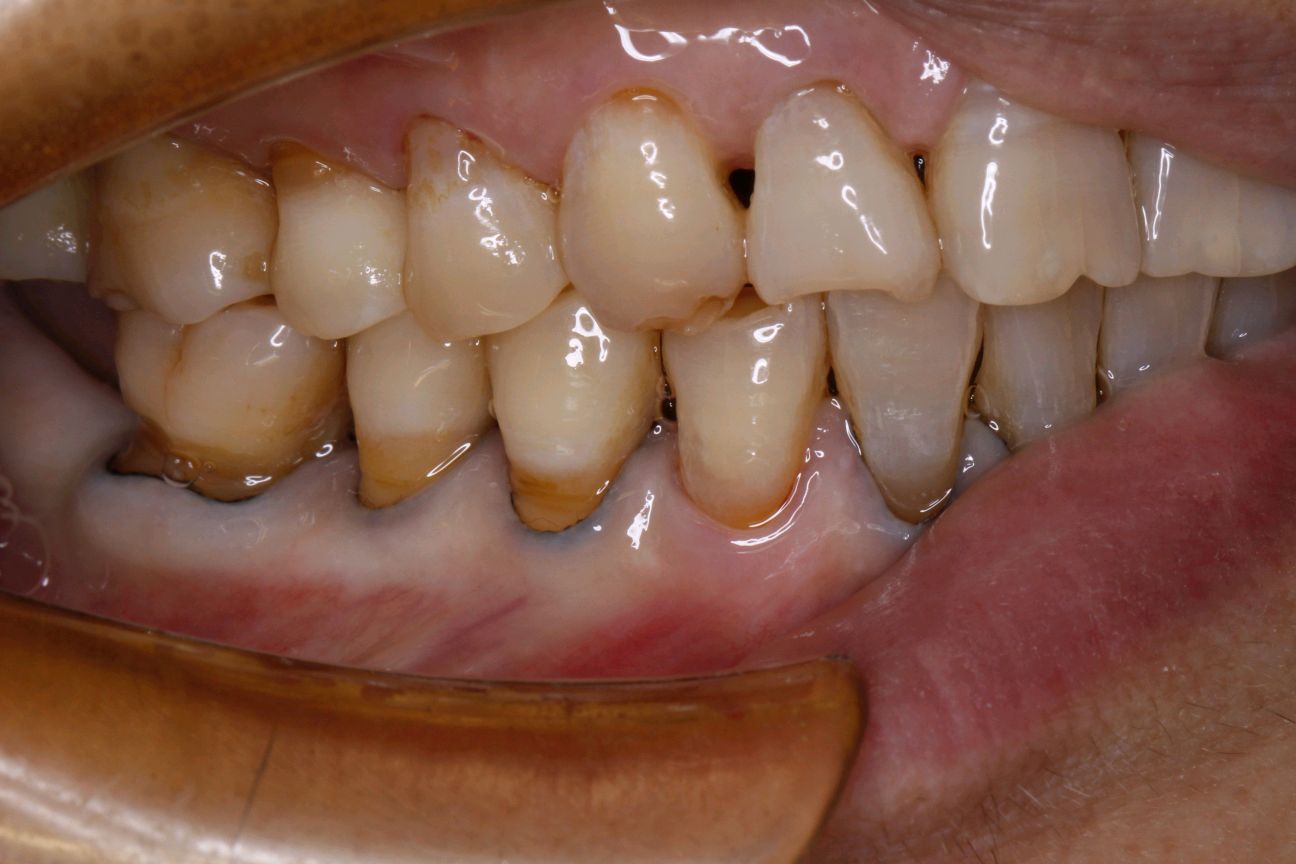
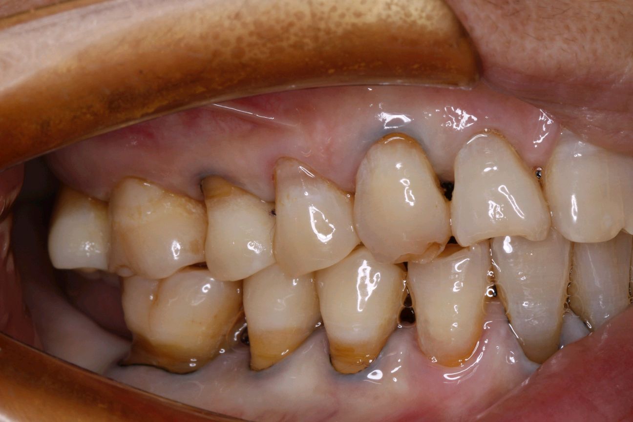
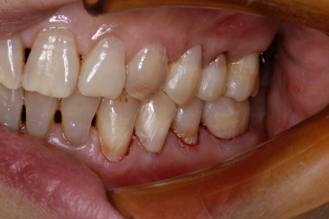
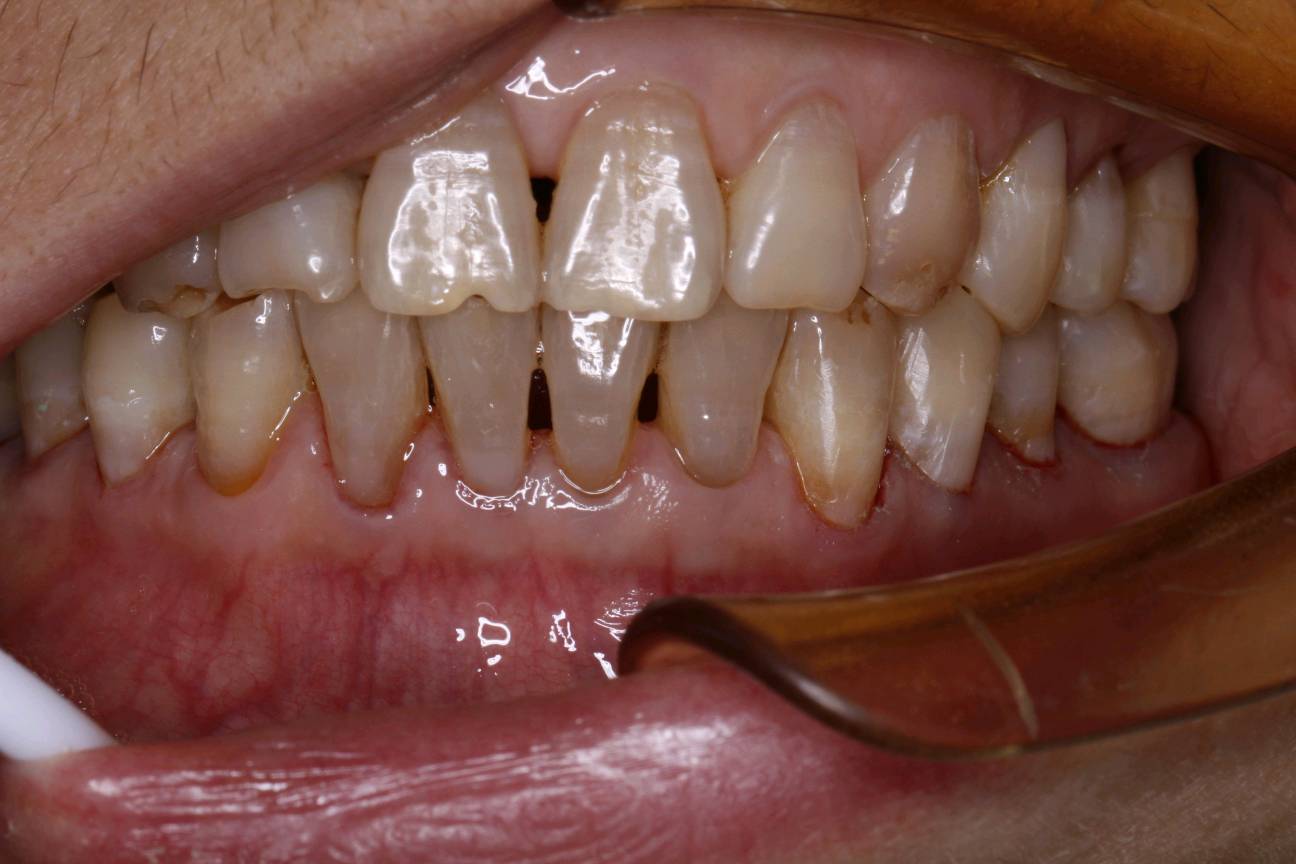
患者女,五十岁。牙齿敏感近月余,今前来我院就诊。检查发现,15,13,25,33,34,35,36,41,42,45,46楔状缺损,探(+_)。向患者交代病情,经患者同意做充填修复。
很多人刷牙不认真应付了事,其实不以为然。正确的刷牙方式,能有效的清除牙菌斑和软垢,能起到预防龋坏和牙周病的作用。而错误的刷牙方式,重则能毁掉我们的牙齿。
那么造成楔状缺损的原因呢?1、不正确的刷牙方式2、口内的酸性环境也有一定的关系3、还有就是牙颈部的结构比较薄弱。釉牙骨质交界处,釉质和牙骨质覆盖量最少,不耐磨
知道原因了就可以有效的杜绝楔状缺损的发生,使用正确的刷牙方式调节饮食结构。牙齿冷热酸甜敏感及时就医。





