后牙种植修复

卢松林医生 发布于2023-10-30 17:12 阅读量876

本文由卢松林原创



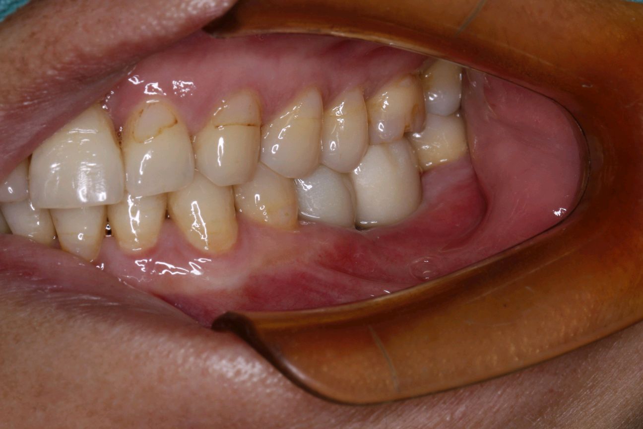
患者女,49岁,全口口腔卫生不良,结石++,牙槽骨水平吸收,附着丧失,可探及牙周袋。35,36,牙周-牙髓联合病变导致牙齿松动+++,根尖周阴影呈“烧瓶形”病变。

治疗计划:1、全口牙周刮治。2、患牙拔除。3、缺失牙种植修复。4、定期口腔维护复查。

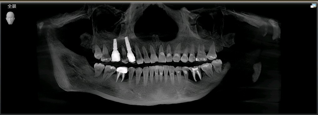
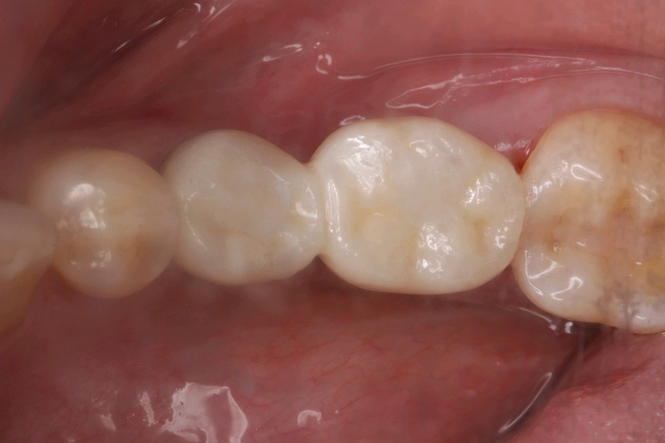
最终患者在做完牙周治疗后,拔除患牙。三月后植入ITI种植系统,植入骨粉骨膜及CGF膜严密缝合。术后骨结合良好。二期三期如期顺利进行,最终于今日安装牙冠,完成种植。患者满意。






图片发自160App




图片发自160App


图片发自160App


图片发自160App




图片发自160App


图片发自160App


图片发自160App


图片发自160App
相关疾病: