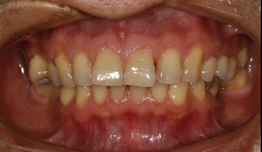
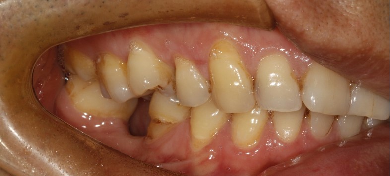
患者男,四十四岁,36,46缺失已植入种植体,附着龈不足,缺牙区牙槽嵴呈刀刃状,缺牙区咬合间隙及近远中间隙尚可。可行游离牙龈移植术增宽种植体周围附着龈的面积。
种植牙手术现在越来越多,但也对患者缺失牙齿周边的牙龈组织有一定的要求。有些患者会出现牙龈覆盖不足较为严重的情况,这时候就需要进行牙龈移植手术。不仅能提高患者种植牙手术的成功率,使种植牙更加稳定,有利于长期的使用。也对牙龈条件不好,又想种植牙的患者提供了解决方案。两者相辅相成。
如果已经出现牙龈萎缩的问题,请及时就医。当然,平时也要养成正确的口腔卫生习惯,用软毛牙刷轻柔的刷洗牙齿和牙龈,使用漱口水来杀死口腔中的细菌,保持口腔清洁。





受区准备:15号刀片沿着膜龈联合联合部位做,深为1mm的水平切口,向根方组织充分锐性分离

供区制备:第一前磨牙与第一磨牙近中根,距牙龈边缘2mm处制作非全厚切口,获得一个上皮组织瓣。


缝合完成移植瓣与受区骨膜的固定。确保无松动。

牙周塞治剂涂抹创面。佩戴腭护板