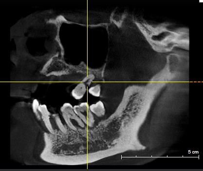
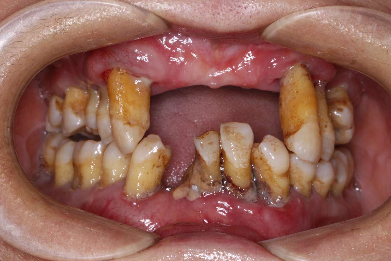
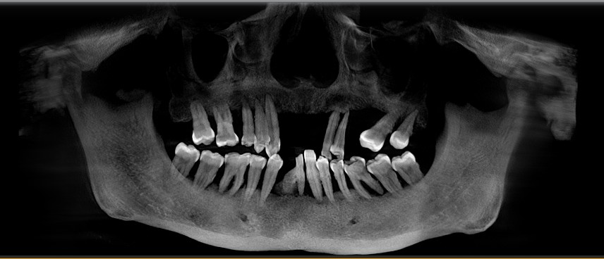
患者女,五十岁,近几年出现刷牙出血和牙齿的松动,甚至部分脱落,近期前来我院就诊。患者全身健康,否认糖尿病,否认家族病史。临床检查:口腔卫生差,可见大量菌斑,软垢。牙石+++,牙龈暗红。根面暴露,前牙部分脱落。X线示牙槽骨吸收至根尖1/3。
治疗计划:1拔除无法保留的牙齿。2牙槽骨吸收至根尖2/3以上的患牙进行根管治疗。3分次进行牙周刮治。4缺失牙修复。5定期维护
看着这摇摆不定的牙齿,让人陷入沉思。很多年轻的牙周炎患者对牙周疾病不重视,可真到了重度牙周炎晚期,牙周组织已经没有支持力,牙齿只会越来越松,甚至脱落。因小失大,得不偿失。所以各位一定要重视口腔卫生,意识到口腔健康的重要性。如果有出现刷牙出血的情况,请及时就医。定期洁牙。







