上前牙崩裂后微创即刻瓷修复

卢松林医生 发布于2023-06-21 23:26 阅读量1064

本文由卢松林原创

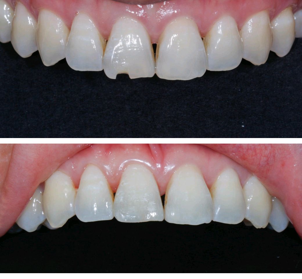
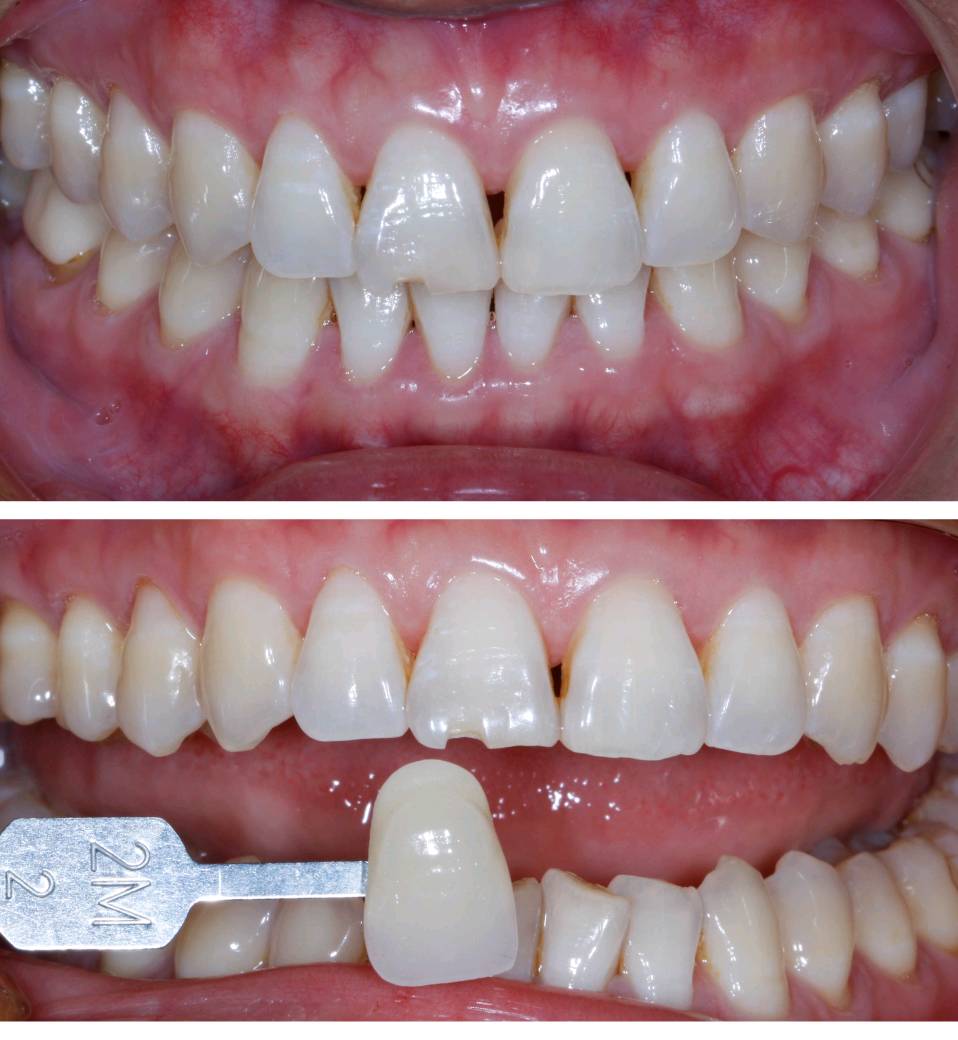
偶然因素啃硬物导致上前牙切缘处崩裂,立刻变成豁牙,严重影响美观,正在愁眉苦脸之时,想到我们有德国先进即刻瓷修复设备,可以很快修复我的牙齿,即刻预约就诊,经医生详细检查后确定修复方案,采用微瓷贴面即刻修复技术,1小时恢复完美自信!


图片发自160App


图片发自160App


图片发自160App


图片发自160App


图片发自160App


图片发自160App


图片发自160App
相关疾病: