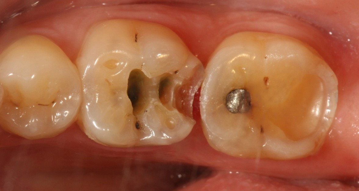
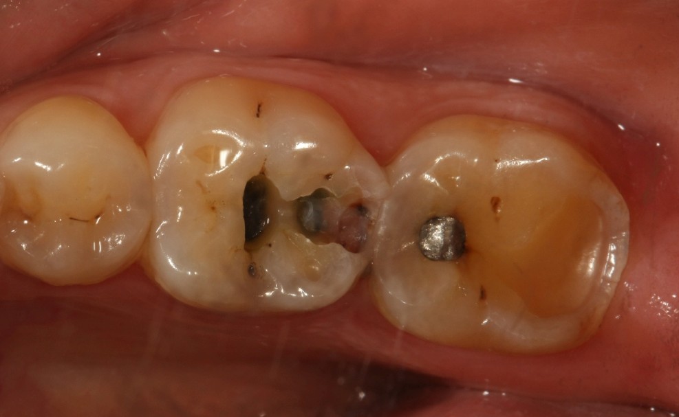
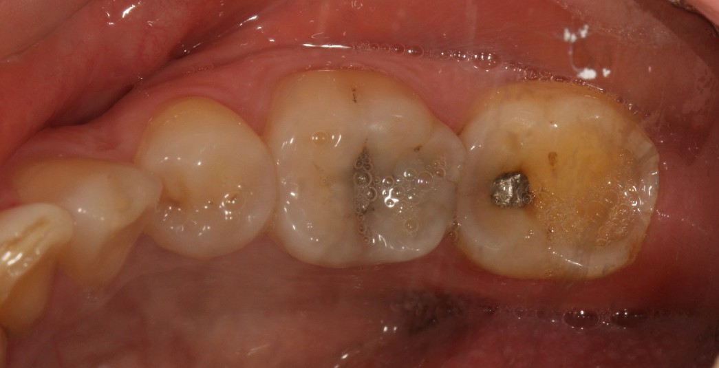
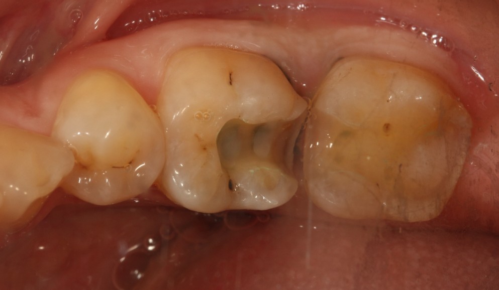
银汞充填物时间久了边缘容易发生微渗漏,导致继发龋坏

卢松林医生 发布于2022-09-18 00:34 阅读量1693

本文由卢松林原创

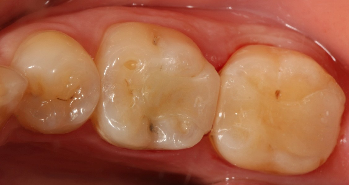
口腔检查时,会经常遇到以前补的银汞合金边缘变色,探有卡顿,形成了继发龋坏,建议重新充填或者瓷嵌体修复;瓷嵌体修复技术,可以非常好的恢复牙体形态和非常密合的边缘,色泽也非常逼真;我们采用CEREC(德国瓷睿刻)椅旁加工技术,达到最佳修复效果!



图片发自160App




图片发自160App




图片发自160App




图片发自160App




图片发自160App




图片发自160App




图片发自160App




图片发自160App




图片发自160App



相关疾病: