上前牙过小严重影响美观怎么办?

卢松林医生 发布于2022-09-17 00:39 阅读量1277

本文由卢松林原创

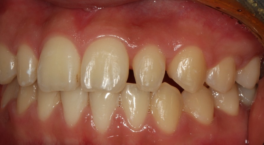
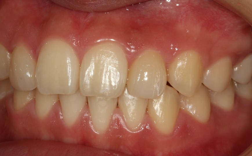
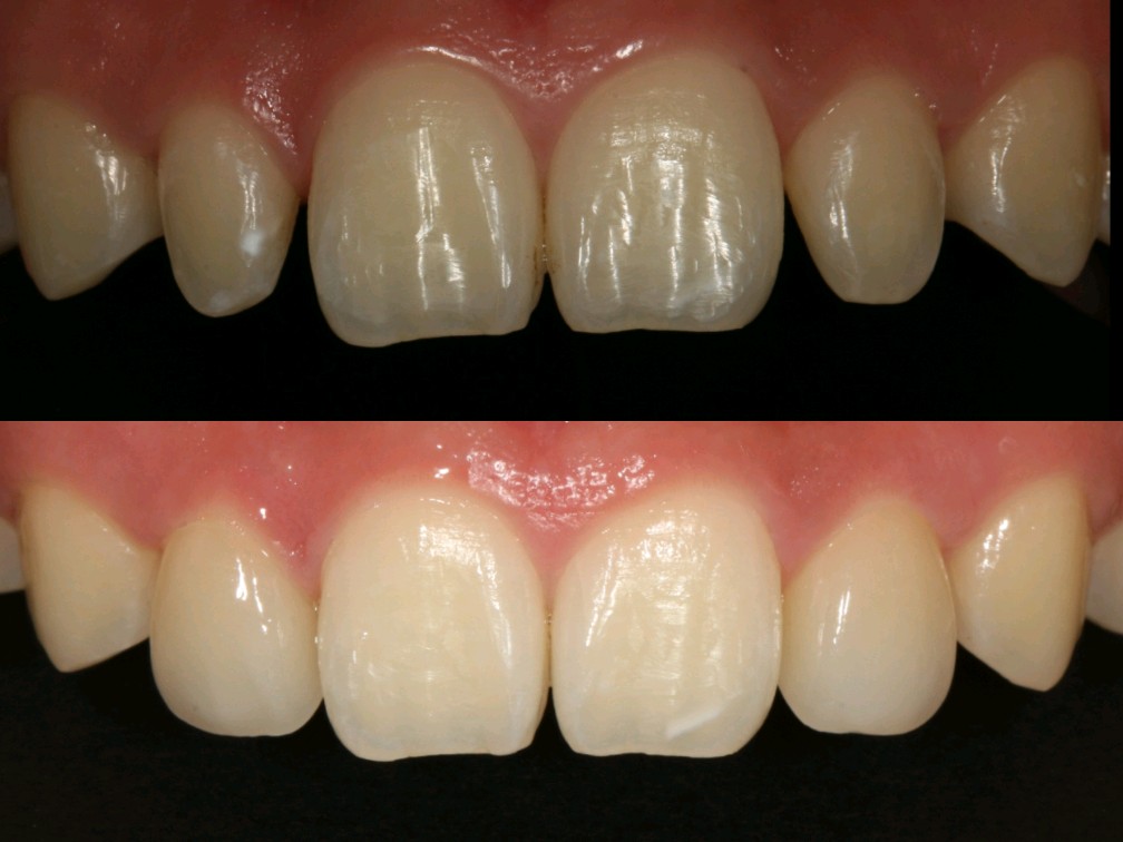
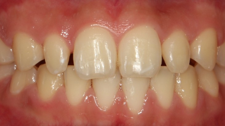
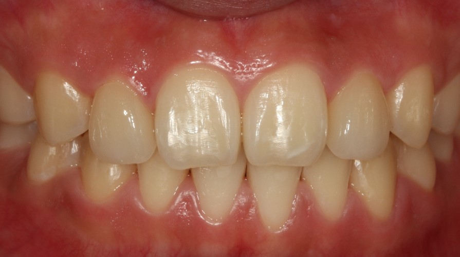
经常遇到上前牙有发育畸形,形态过小,与邻牙形成间隙,很是影响美观;怎么解决美观问题:1过小牙形成间隙左右不对称,需要通过正畸来移动牙齿,达到过小牙间隙对称,再用瓷贴面或牙冠的方式修复,达到功能和美观;2过小牙间隙对称,直接采用瓷贴面或牙冠修复。下面的妹妹就是采用先正畸后瓷贴面的方案来达到功能和美观。


图片发自160App


图片发自160App


图片发自160App


图片发自160App


图片发自160App


图片发自160App


图片发自160App
相关疾病: