树脂补牙后食物嵌塞怎么办?

卢松林医生 发布于2022-04-30 10:28 阅读量1236

本文由卢松林原创

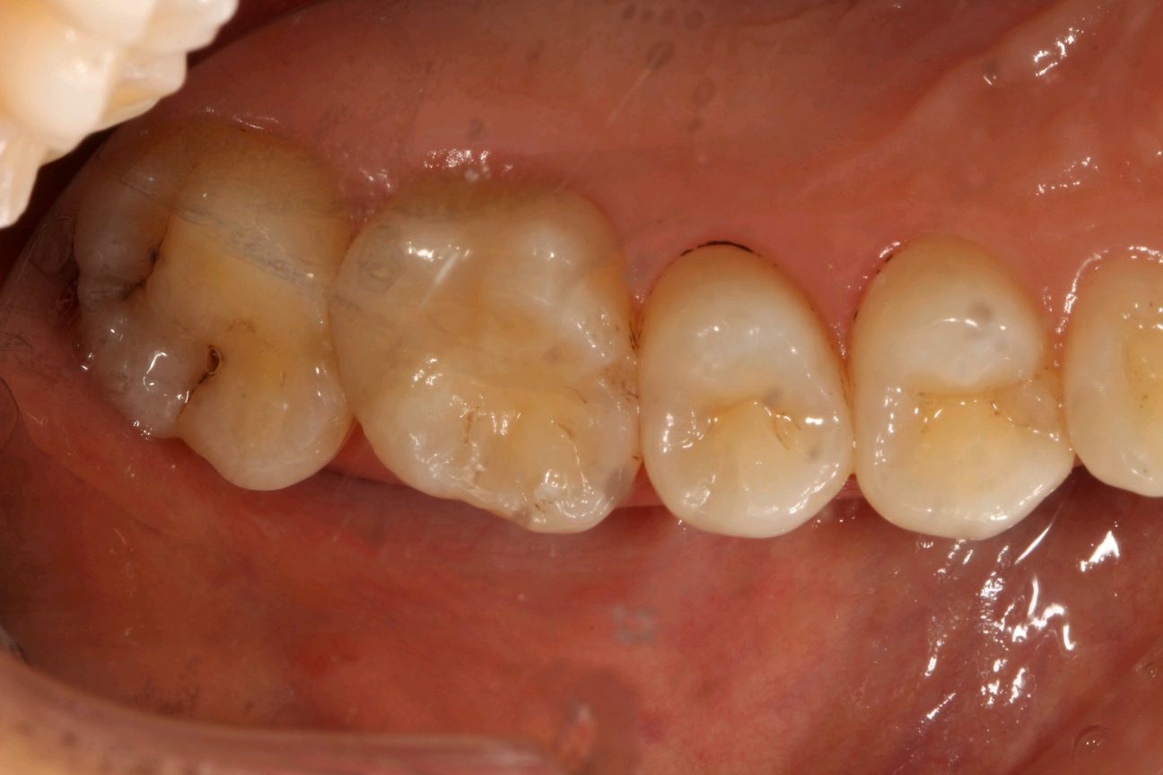
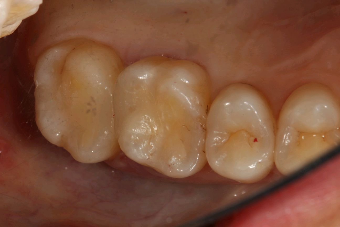
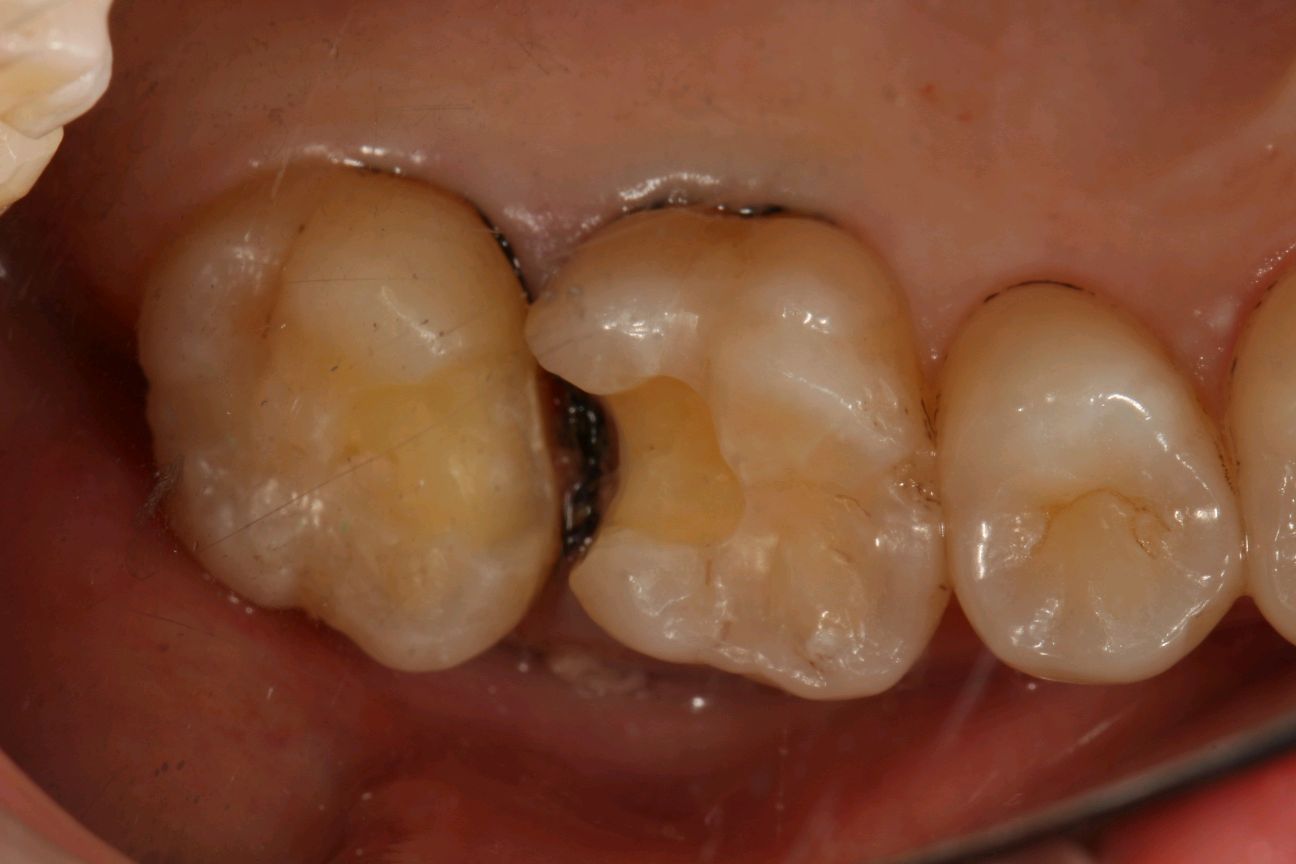
前天接诊一位姑娘,因反复树脂补牙,都没有解决塞牙的问题,陷入无限痛苦,仔细检查后发现充填的树脂部分缺损,邻接的边缘少量缺损,邻接松,分析原因还是树脂的强度不够;解决的办法釆用瓷嵌体的修复,恢复良好的边缘和邻接,拥有足够的强度和长久性,门诊采用德国西诺德(CEREC)即刻修复系统,1小时解决修复问题,极大的节约了患者的时间。


图片发自160App




图片发自160App




图片发自160App




图片发自160App




图片发自160App




图片发自160App




图片发自160App




图片发自160App




图片发自160App
相关疾病: