让微创修复还您自信的微笑,来自德国的CEREC技术,当日即可完成!

卢松林医生 发布于2021-11-23 12:01 阅读量2062

本文由卢松林原创

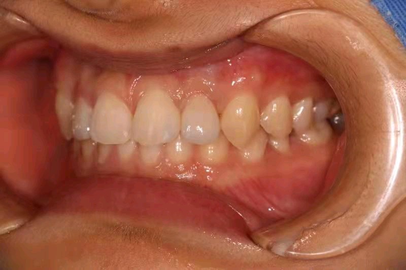
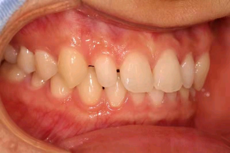
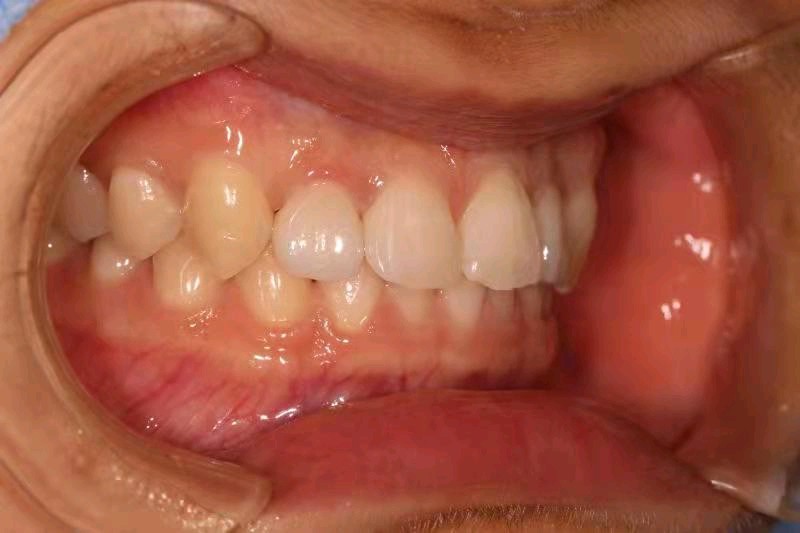
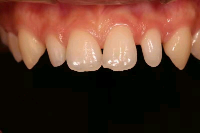
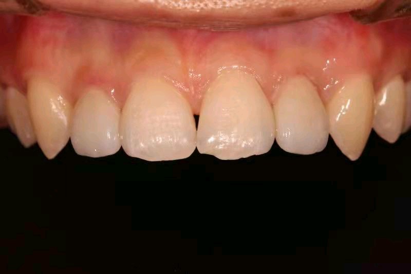
姑娘觉得前牙牙冠不协调,间隙较大,导致吐字不清,说话漏风,蹦口水,严重影响美观和自信,于是寻遍口腔科,终于找到我们,门诊CEREC技术,不需要磨牙齿,扫描,设计,切割,整个过程完全目视下完成,实现即刻修复,患者体验感非常棒!!!


图片发自160App




图片发自160App




图片发自160App




图片发自160App




图片发自160App




图片发自160App




图片发自160App




图片发自160App




图片发自160App
相关疾病: