上合双侧后牙种植修复及口腔综合治疗

卢松林医生 发布于2021-06-06 23:19 阅读量7147

本文由卢松林原创

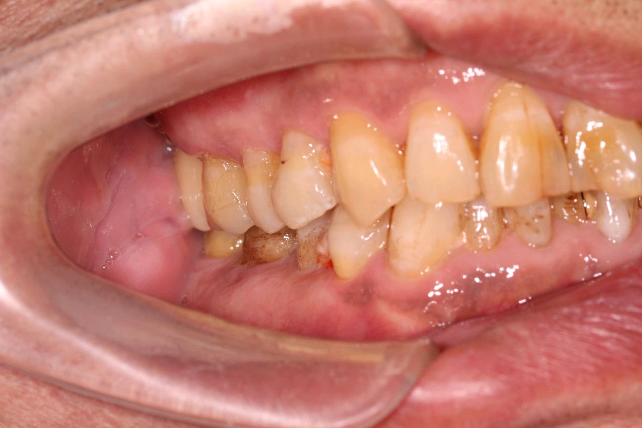
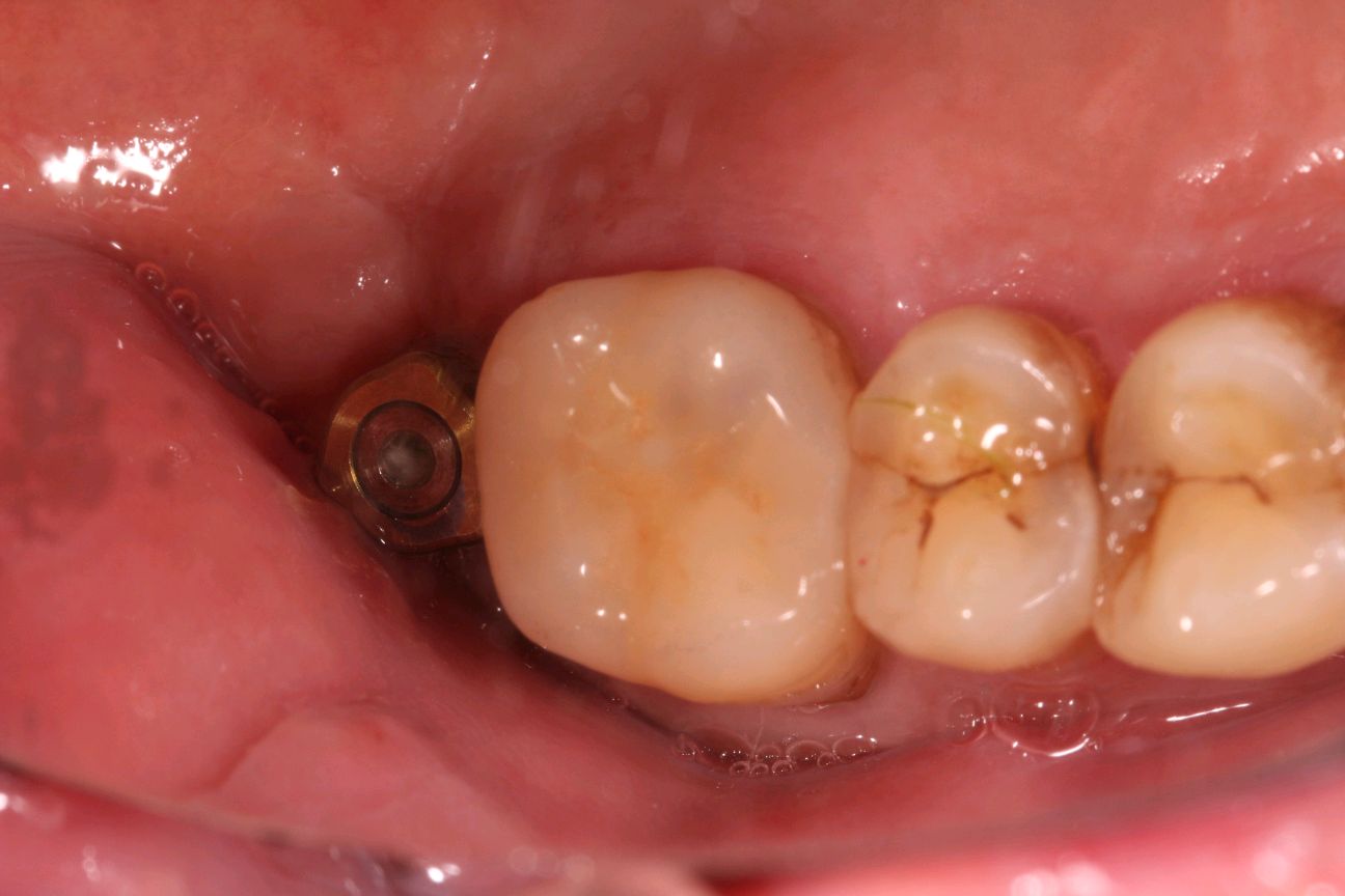
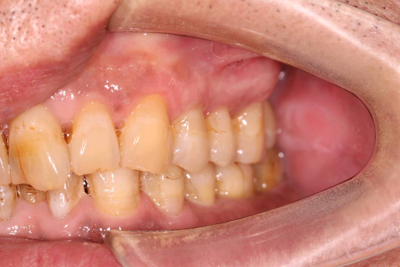
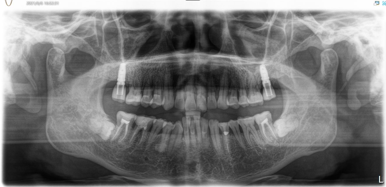
患者是成功人士,平时非常忙碌,忽略了口腔健康,直到有一天无法咀嚼食物后才想到要治疗牙齿,我们为他摄了CBCT,发现有重度牙周病,上合双侧7自然脱落,左上8,III度松动,并近中倾斜移位,对合牙严重伸长,还有其他牙齿疾患,需要综合治疗;经过牙周病治疗、上合窦骨增量、上合种植修复、拔牙、截冠、根管治疗、桩冠、高嵌体修复等!时间长达一年,终于恢复了正常牙列!可以享受食物的美好!




图片发自160医生App




图片发自160医生App




图片发自160医生App




图片发自160医生App




图片发自160医生App




图片发自160医生App




图片发自160医生App




图片发自160医生App




图片发自160医生App



相关疾病: