后牙即拔即种植  上传中,请稍候...

卢松林医生 发布于2021-06-04 23:40 阅读量7026

本文由卢松林原创

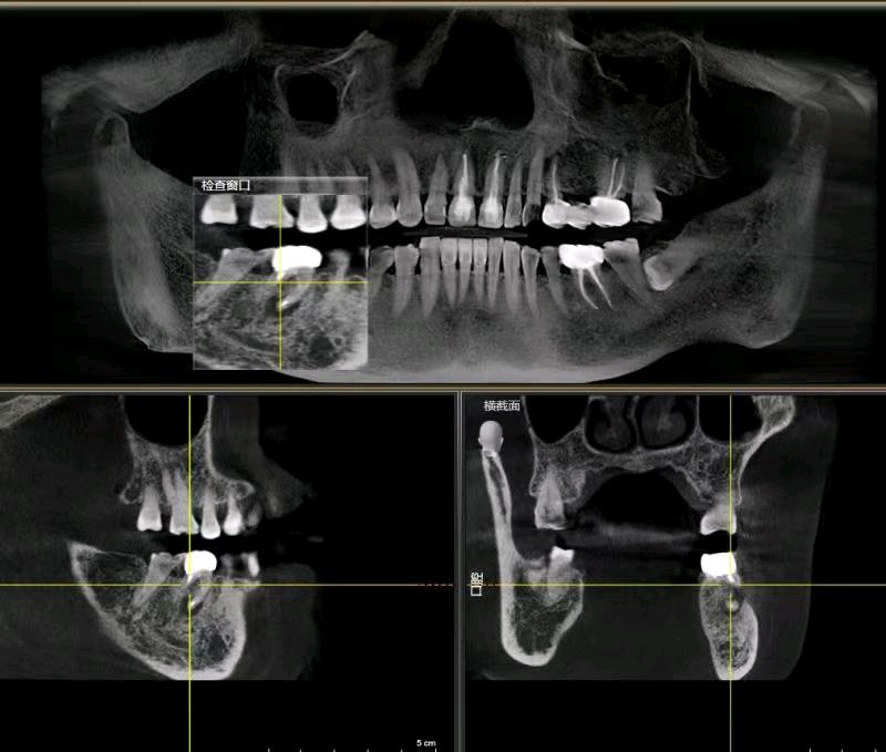
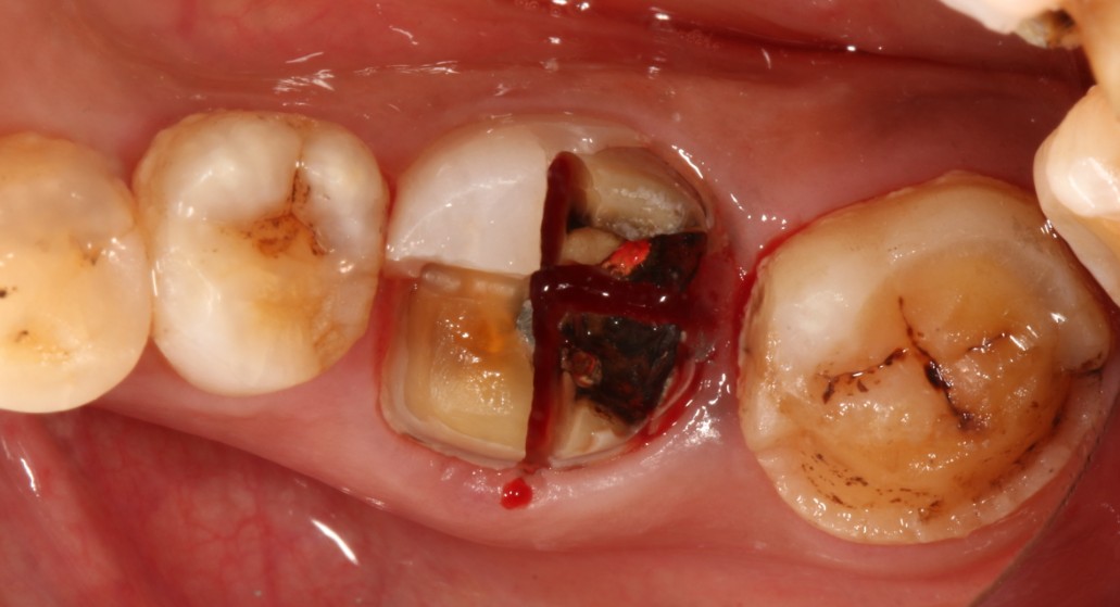
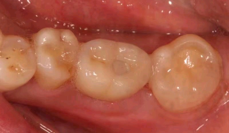
患者右下后牙根管治疗十年后咬合不适,x片显示近中根尖阴影较大,根折,患牙不能保留,患者非常焦虑拔牙,更怕种植牙,要求拔牙后即刻种植,通过CBCT检查,确定剩余骨量足够多,可以即拔即种植;患者知情同意下,完成即拔即种,四个月后CEREC数字化扫描,当天完成了牙冠修复,同时邻牙也完成嵌体修复!有图有真相。


图片发自160医生App




图片发自160医生App




图片发自160医生App




图片发自160医生App




图片发自160医生App




图片发自160医生App
相关疾病: