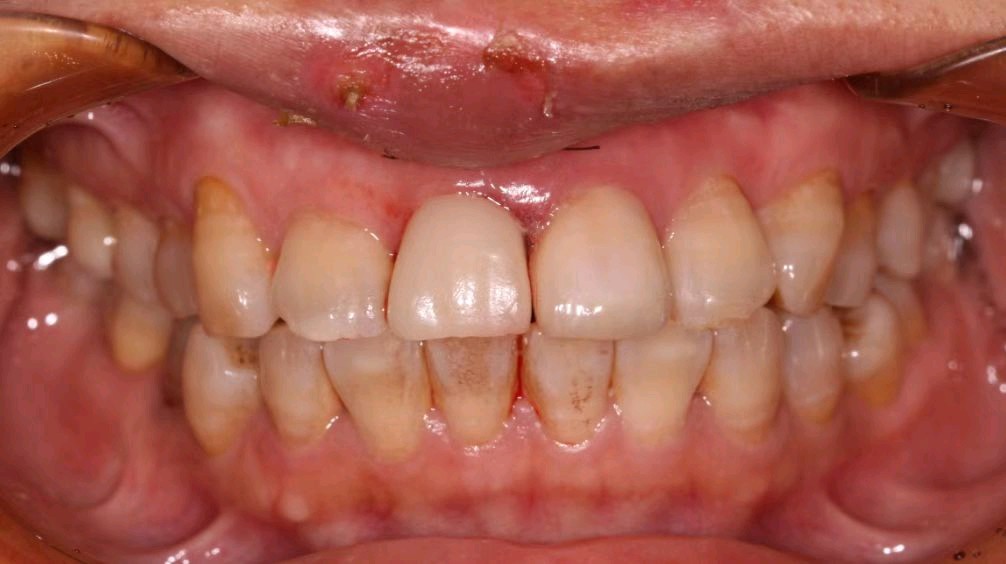
患者右上中切牙外伤导致冠根折,腭侧折面至骨下2mm,需要拔除患牙,x片显示唇腭侧牙槽骨完整,唇侧牙槽骨厚度1.5mm,根尖区剩余牙槽骨也有8mm,符合即拔即种即修复基本条件,患者知情同意下,术前两小时CEREC数字化扫描,设计种植导板,术前准备,拔除患牙,种植导板精密就位,种植窝完成制备,植入植体,拔牙窝间隙中植入Bio-oss骨粉,放置扫描杆,CEREC数字化扫描,一小时后即有一颗和左侧中切牙形态,颜色一致的右侧中切牙,不需要缝合,术后无疼痛,患者非常满意,CEREC数字化技术带给你无限可能!






