好的牙齿能让我们享受人生乐趣,尝遍天下,但又会因各种因素导致牙齿缺失,所以最后都会选择做假牙的方式来填补缺失的牙,这个时候种植牙就出现了,它被誉为人类的第三幅牙齿,具有舒适,自然,美观,咀嚼效率高,不伤害邻牙等优点,而且种植牙也已被口腔界公认为缺牙首选最佳修复方式。
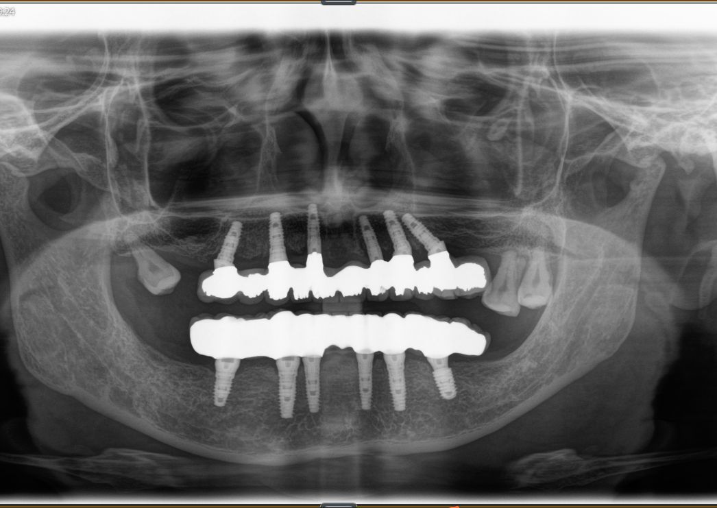
这是一位今天种植牙复诊患者的牙齿的,早期因为牙齿缺失和牙齿松动,严重影响美观,更影响了她的饮食,15年前我为她种了上半口,一直用得很好!但下合的牙因重度牙周病引起牙齿松动和脱落,今年我又为她种了下半口;经过采用种植牙的方式,使得她的牙齿重换新生,患者说:“戴上牙以后什么都能吃,体重还重了许多,很庆幸当时选择种牙这个选择”。
感谢这位患者的肯定和信任!!
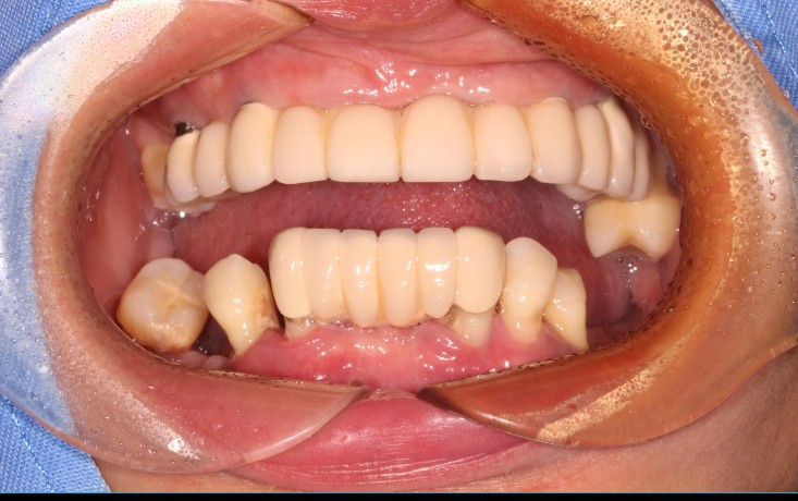
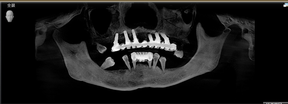
术前图片


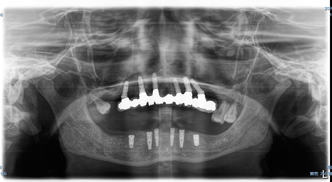
术后图片

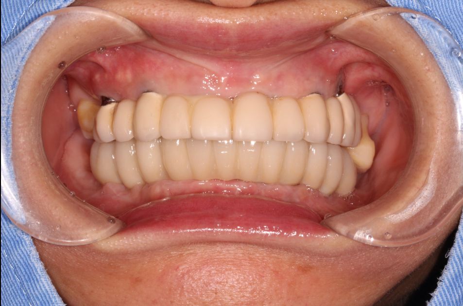
戴牙图片

