上前牙贴面修复

卢松林医生 发布于2021-05-14 22:09 阅读量6906

本文由卢松林原创

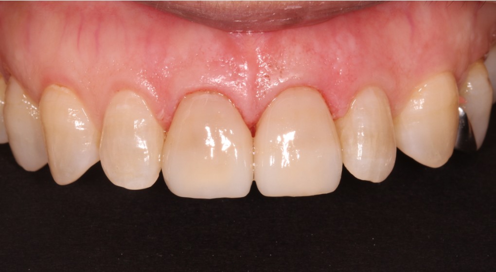
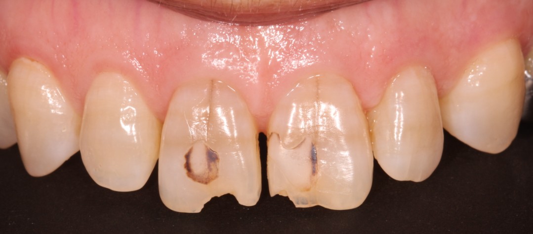
今天给大家分享一个案例,这是一位70岁阿姨的牙齿,早些年修复过,后因一些原因导致牙齿前牙变色和部分缺失,因为前牙的原因困扰了我们阿姨好久,常言道:爱美之心,人皆有之,经过多方咨询,最后阿姨找到了我来做牙齿贴面 。

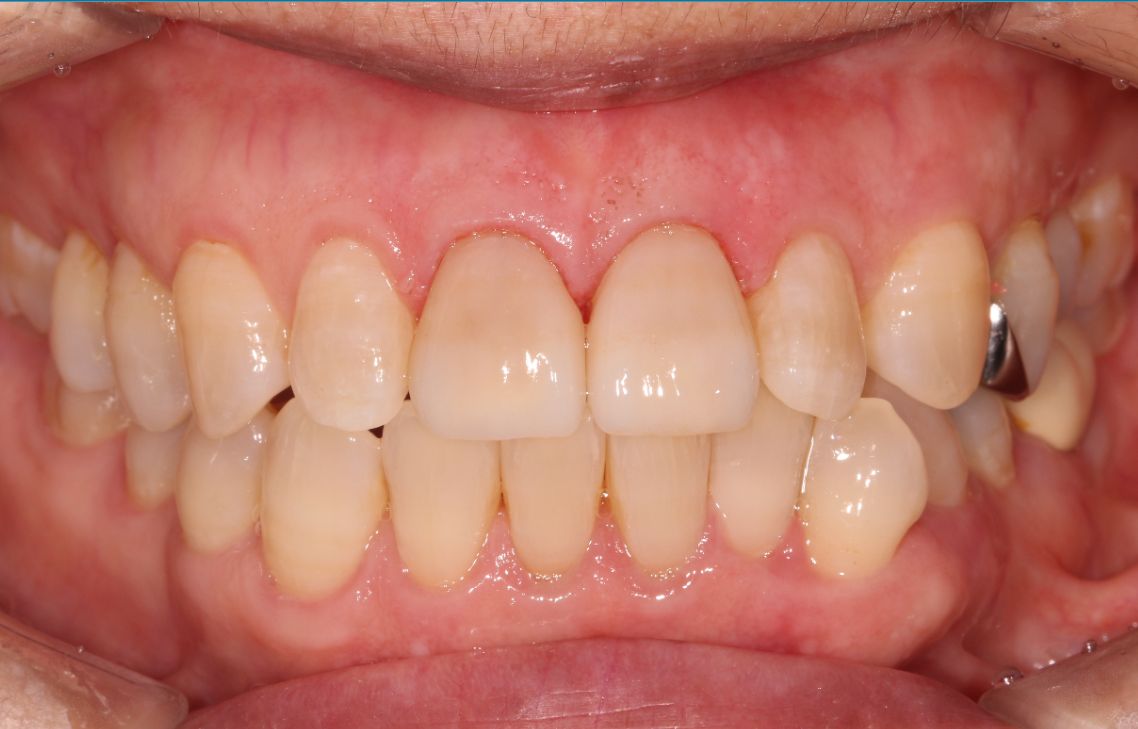
      为了让阿姨尽快解除困扰,我们采用门诊数学化的技术一德国CERCE系统,可以当日修复,让阿姨省时省力,我们当天做出来的贴面,当天就给阿姨修复上去了,牙齿贴面贴上去以后阿姨很是满意,这时候笑起来的阿姨更加自信了!

          

   




图片发自160医生App




图片发自160医生App




图片发自160医生App




图片发自160医生App




图片发自160医生App




图片发自160医生App




图片发自160医生App




图片发自160医生App




图片发自160医生App



相关疾病: