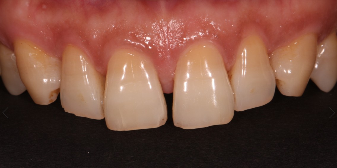
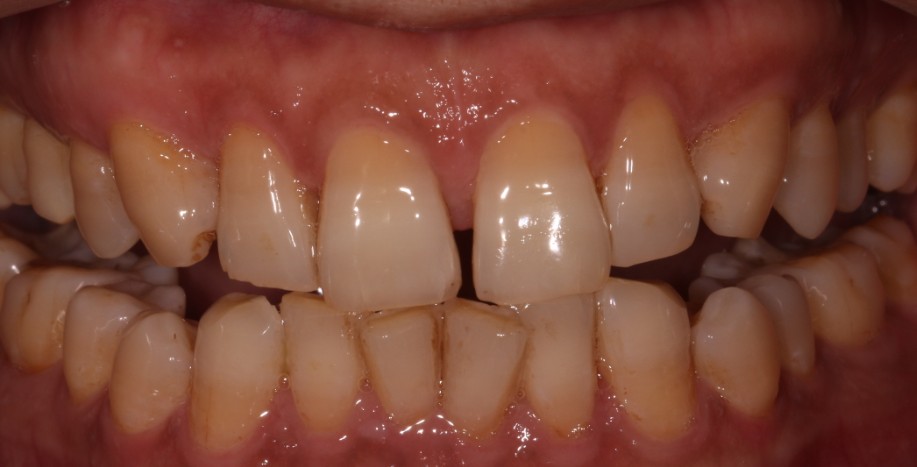
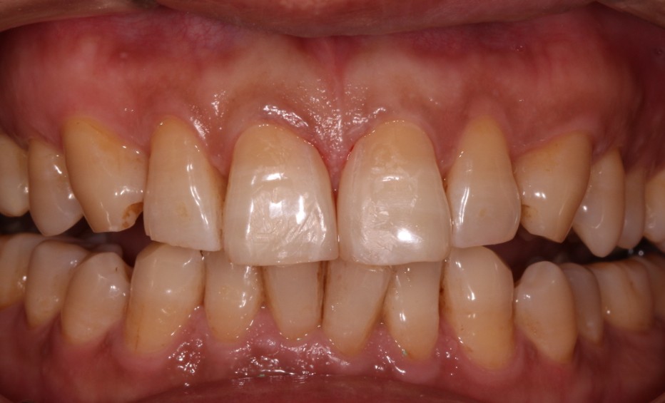
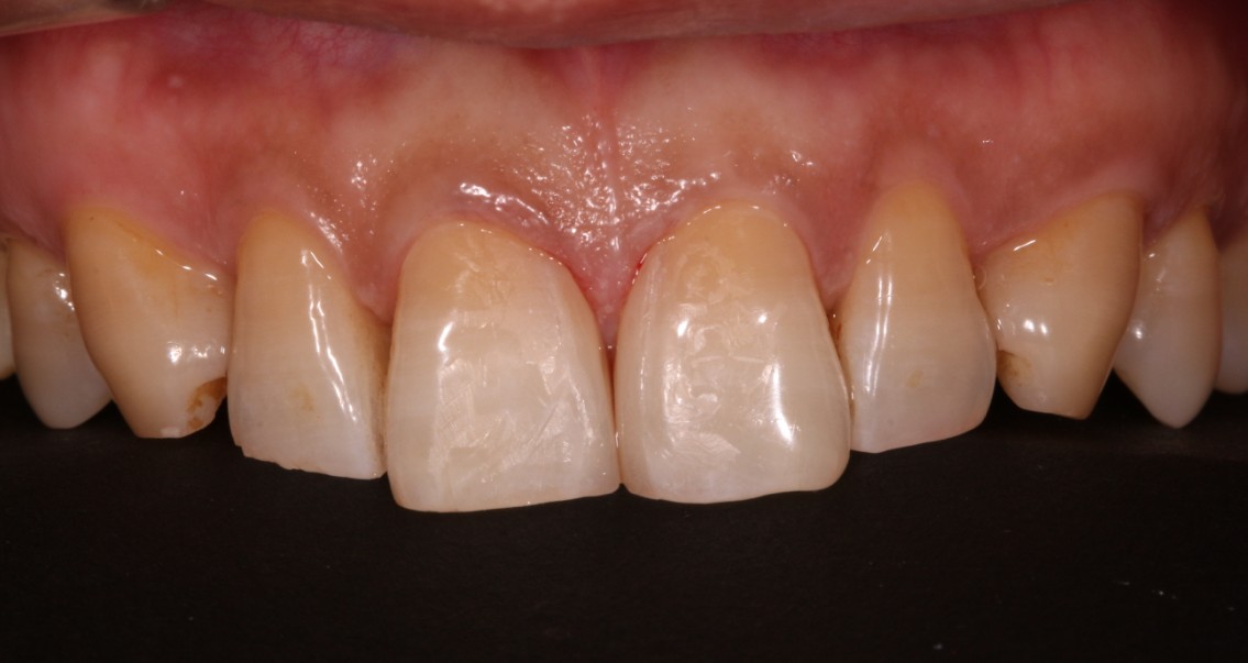
前牙的缝隙影响俊男美女的形象、影响发音,形成原因:1唇系带过短,2牙周炎引起,3不良习惯,4咬合问题引起;一般有两种办法解决;1:正畸治疗,时间较长,一般不需要磨牙;2:微贴面修复或者贴面修复和牙冠修复,微贴面一般不需要磨牙,贴面可能需磨少量牙齿,牙冠修复磨牙较多,不建议做牙冠修复。如果不考虑正畸关闭缝隙的话,建议大家多采用微贴面来关闭缝隙;这是微贴面关闭间隙,门诊使用数学化技术,德国CERCE扫描、切割,两小时完成修复,以假乱真的效果!客人非常满意;没有数字化技术,需要取模,送工厂,等待十天左右时间,客人需要再次就诊,可能有返工重做的可能,这样就耽误客人的时间;有了数字化技术,客人只需要一次就诊,当天就可以完成修复。大家看看美图!








