即刻美白病例

卢松林医生 发布于2021-05-06 19:08 阅读量6928

本文由卢松林原创

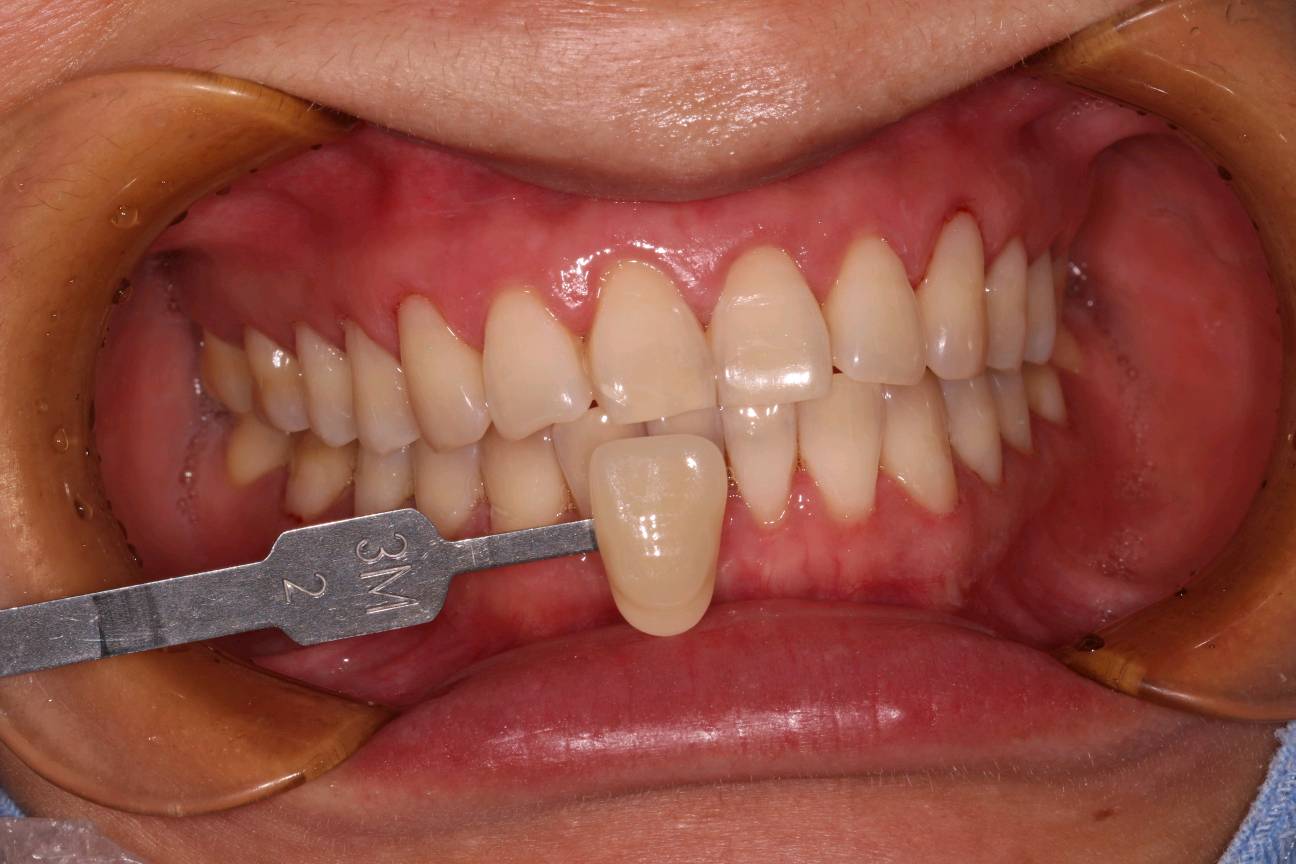
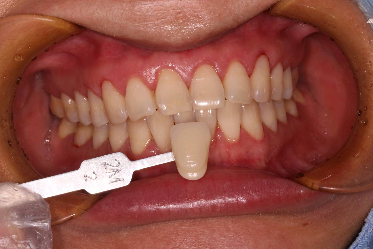
牙齿抛光,漱净。涂唇油放置开口器。吹干牙面。涂牙龈保护剂光固化灯照3-4秒。涂抹美白凝胶,美白仪灯照射8分钟,强吸掉美白剂,重复操作,进行第二次及第三次8分钟的疗程。结束。美白完成后漱口。吹干。比色,照相存档。

颜色短短30分钟便白了几个色号。

欢迎爱美人士试试效果。


图片发自160医生App

美白前




图片发自160医生App

美白后

相关疾病: