从肇庆特地而来的客户之补牙

卢松林医生 发布于2021-05-03 18:54 阅读量6686

本文由卢松林原创

客户有看牙恐惧症,被姐姐介绍,特地趁着五一假期过来找我看牙,要求解决牙齿冷热敏感问题。

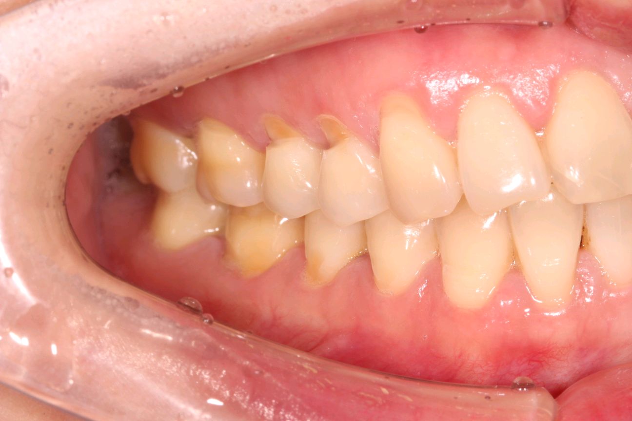
检查发现上下共有15颗牙要补。建议分次补或者到当地门诊补,客户强烈要求我帮她一起在当天处理完。为了她的信任,抽空在各个复诊客户的间隙中,完成了她15颗牙齿的美学充填。感谢客户的信任及客户的配合,好在最后她对补牙的效果和过程都满意。

客户的满意,是我在忙碌的临床一线中最好的收获。

也在这里祝我的读者们五一节日快乐。


图片发自160医生App

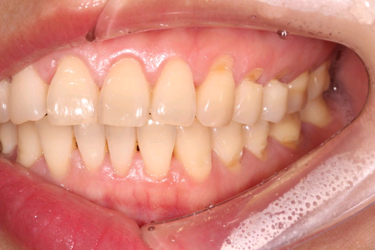
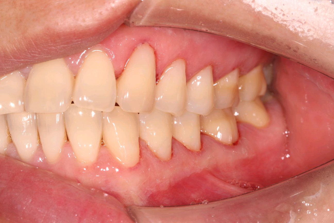
补牙前口内照 ,上下牙颈部不同程度缺损。




图片发自160医生App

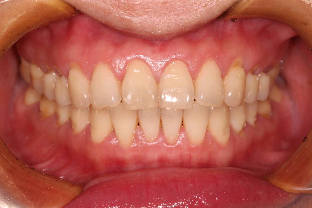
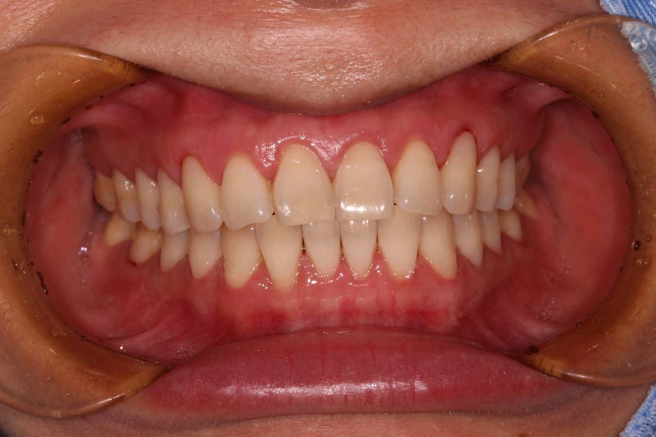
补牙后口内照




图片发自160医生App




图片发自160医生App




图片发自160医生App




图片发自160医生App
相关疾病: