正畸多学科诊疗之系带延长术

卢松林医生 发布于2021-05-02 17:27 阅读量7613

本文由卢松林原创

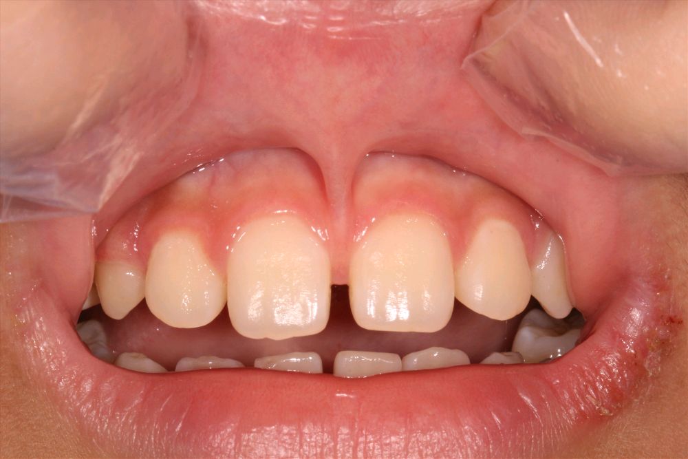
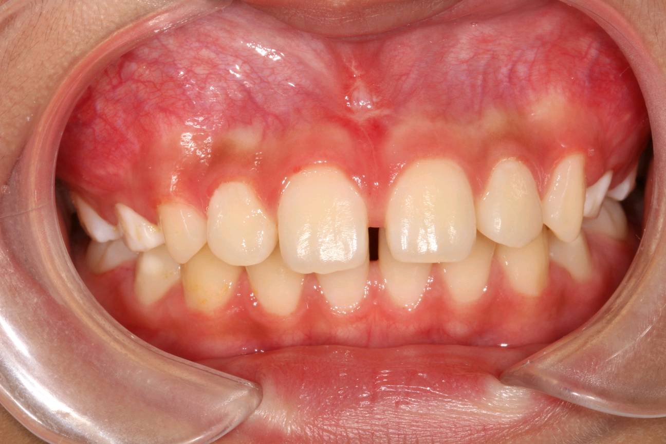
客户因上唇系带导致门牙中缝超过2mm,这种很难自行闭合,现在牙缝越来越大,要求改善。我院正畸医生面诊后建议先行唇系带修整术。

利用激光做系带延长术,出血少,无需缝合,术后无肿痛,不影响进食,相比传统手术愈合更快,术后反应更小。




图片发自160医生App






图片发自160医生App






图片发自160医生App




图片发自160医生App
相关疾病: