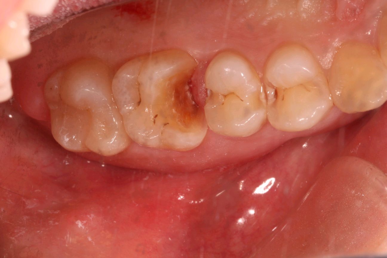
客户诉牙齿进食冷热酸痛敏感,检查发现各牙邻接面龋坏,告知患者各种备选修复材料的优缺点、相应修复费用和修复时间、可能的复诊次数和并发症,患者选择了嵌体修复。
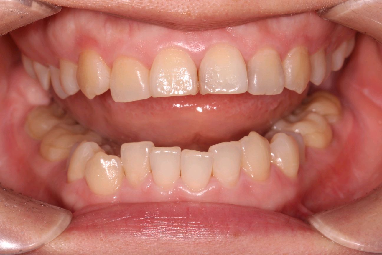
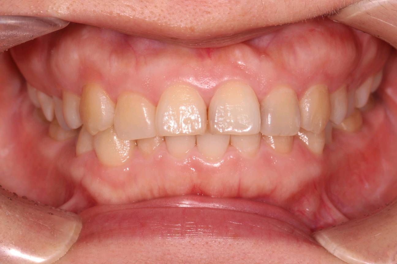
0.1%的聚维酮碘溶液局部消毒,涂表麻膏,4%盐酸阿替卡因肾上腺素注射液0.8ml局部浸润麻醉,等待麻药生效后。去净腐质,基牙预备基牙预备,排龈,精修,CEREC扫描,比色,CEREC制作嵌体,试戴后边缘密合,符合各种对修复体的质量和设计要求,患者满意,同意粘固。消毒基牙和修复体,酸蚀冲洗,隔湿,吹干,粘接做永久固定,调合抛光,交代注意事项,常规医嘱,按时复诊,客户表示一次就诊方便快捷,很满意。










