种植牙之17颗80岁先生的病例

卢松林医生 发布于2021-04-30 15:05 阅读量6853

本文由卢松林原创

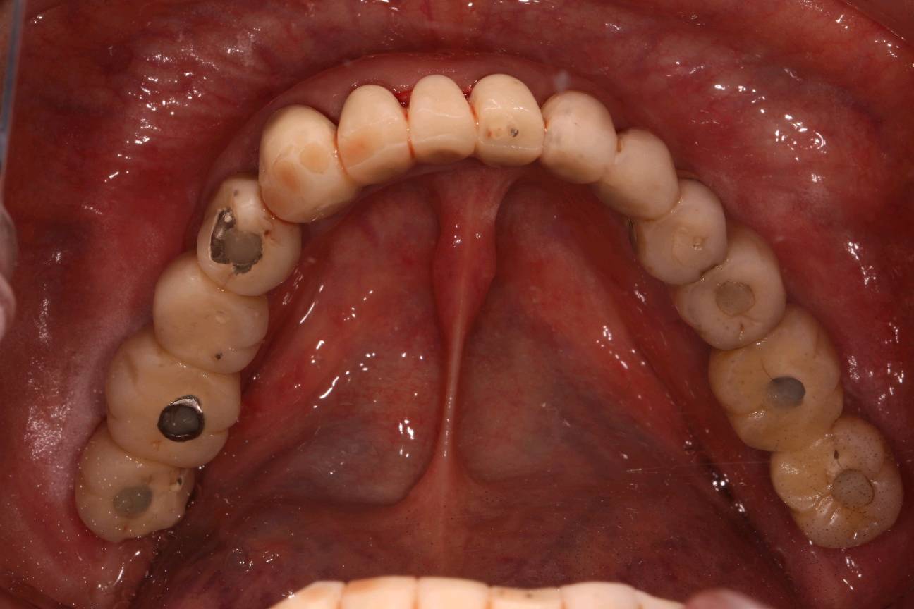
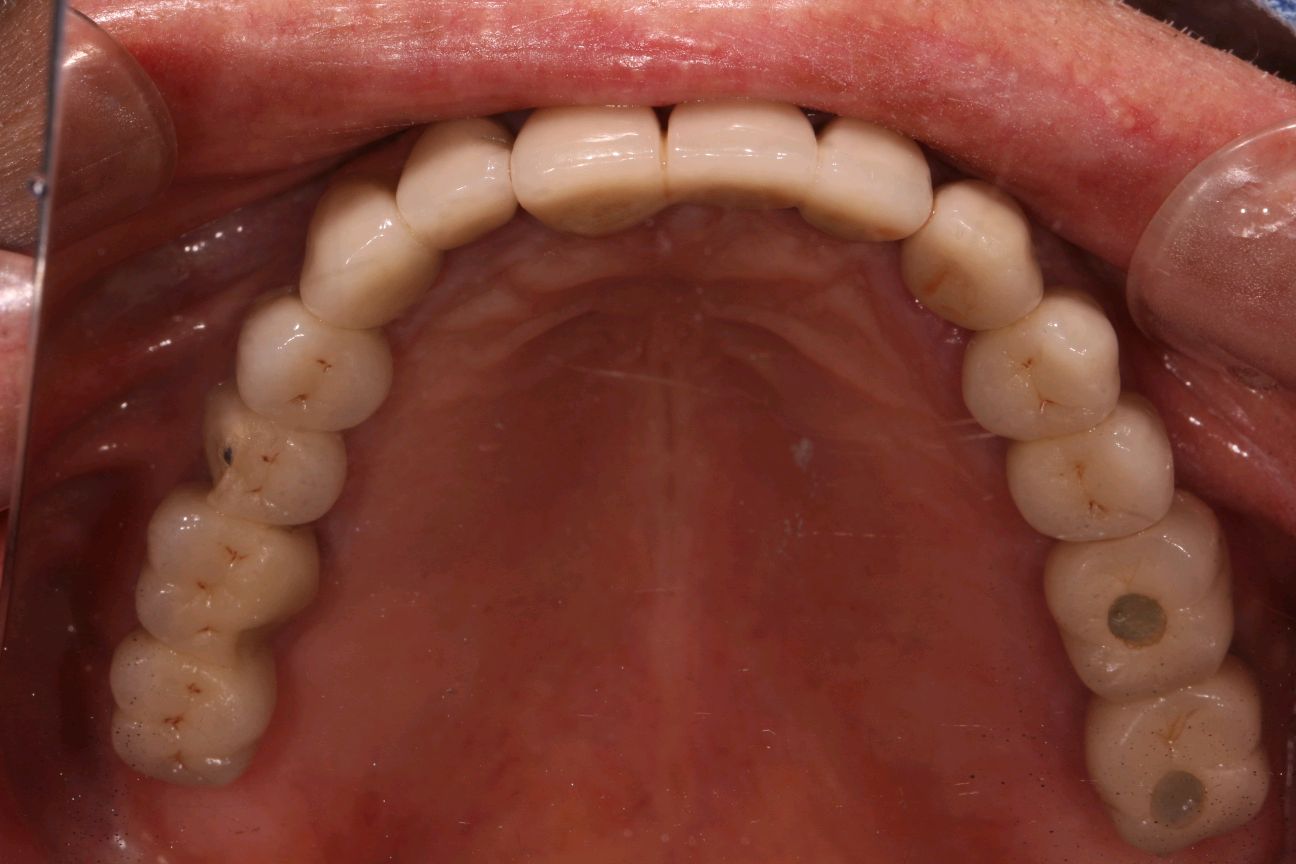
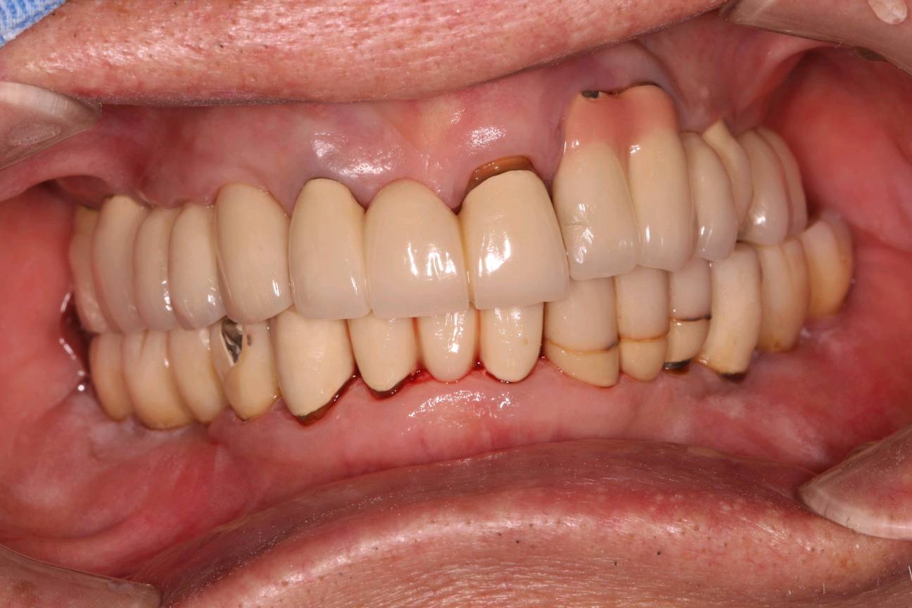
程先生,80岁种植牙复诊,共种了17颗牙,距离第一颗种植牙己定期随访15年,无松动疼痛等症状,用的很是满意。

本次复诊进行了OHI口腔卫生宣教,刷牙、牙线、间隙刷使用宣教和全口超声波洁治,喷砂洁治,抛光,上药,并愉快的约了明年今日复诊。

收到客户的满意和认可是我们医生最欣慰和骄傲的事。


图片发自160医生App




图片发自160医生App




图片发自160医生App




图片发自160医生App




图片发自160医生App




图片发自160医生App
相关疾病: